Tumortherapie & Blutungen der Radiologie am UKS
Einer unserer Schwerpunkte in der Klinik für Diagnostische und Interventionelle Radiologie am UKS ist die interventionelle Tumortherapie einschließlich der Behandlung von Blutungen, die unter anderem als Komplikation einer Tumorerkrankung auftreten. In diesem Bereich setzen wir modernste bildgebende Verfahren und minimalinvasive Techniken ein, um Tumore effektiv zu behandeln und Blutungen zu kontrollieren.
Interventionelle Behandlung bei Blutungen (Spiralembolisation bei Tumoren und Metastasen)
Interventionelle Behandlungsmethoden spielen zunehmend eine wichtige Rolle in der modernen Krebsmedizin. Ein Beispiel hierfür ist die Kontrolle von Blutungen, die als Komplikationen bei verschiedenen Tumorerkrankungen auftreten können. Mit großem Erfolg setzen wir in diesem Bereich die Spiralembolisation ein. Dabei handelt es sich um eine minimalinvasive Technik, die gezielt genutzt wird, um blutende Gefäße bei Tumoren der Leber, der Lunge, des Darms und anderer Organe effektiv zu verschließen. Auch bei Metastasen in den verschiedenen Organen kommt das Verfahren zum Einsatz.
Ablauf und Einsatzgebiete der Spiralembolisation am UKS
Die Spiralembolisation nutzt bildgebende Verfahren, um feine Drähte oder Spiralen präzise in die blutenden Arterien einzuführen. Dadurch wird der Blutfluss unterbrochen und die Blutung gestoppt. Bei der Kontrolle von Blutungen bei Lebertumoren einschließlich Lebermetastasen bietet die Spiralembolisation eine wichtige Option. Sie bringt ein geringeres Risiko mit sich als konventionelle operative Eingriffe und ermöglicht eine schnelle und gezielte Therapie.
Ähnlich wird sie bei blutenden Bronchialkarzinomen (Lungenkrebs) angewandt, um akute Blutungen zu kontrollieren und das Risiko zukünftiger Blutereignisse zu reduzieren, was die Lebensqualität der Patientinnen und Patienten erheblich verbessern kann.
Auch bei Darmblutungen, die eine besondere Herausforderung darstellen, ermöglicht die Spiralembolisation eine schnelle und effektive Behandlung, die einen größeren chirurgischen Eingriff vermeiden und die Erholungszeit verkürzen kann.
Vorteile der Spiralembolisation
Diese interventionellen Techniken bieten gegenüber traditionellen chirurgischen Methoden zahlreiche Vorteile, darunter geringere Risiken, kürzere Krankenhausaufenthalte und eine schnellere Genesung. Sie erlauben eine präzise Behandlung der betroffenen Bereiche, ohne das umliegende Gewebe zu schädigen, und sind somit eine wertvolle Ergänzung im Spektrum der Tumortherapie. Die Möglichkeit, solche minimalinvasiven Eingriffe durchzuführen, stellt einen signifikanten Fortschritt in der Behandlung von Tumorerkrankungen dar und bietet den Patientinnen und Patienten neue Hoffnung auf eine Verbesserung ihrer Lebensqualität. Je nach Indikation kommen auch andere Embolisationsmaterialien zum Einsatz. Hier sind z.B. Flüssigkleber oder kleine Partikel (Kügelchen) aus Kunststoff zu erwähnen, die sich ebenfalls minimalinvasiv über Katheter gezielt in den Körper einbringen lassen.
TACE (Transarterielle Chemo-Embolisation) der Leber
Die Transarterielle Chemoembolisation (TACE) ist ein weiteres fortschrittliches, minimalinvasives Verfahren, das speziell zur Behandlung von Lebertumoren, einschließlich Leberkrebs und Metastasen, eingesetzt wird. Bei dieser Technik wird ein Chemotherapeutikum direkt in die Arterie, die den Tumor versorgt, injiziert. Zusammen mit dem Medikament spritzt man ein Embolisierungs-Material in die Arterie, das die Blutzufuhr zum Tumor unterbricht. Hierdurch wird eine hohe Konzentration und lange Verweildauer des Chemotherapeutikums im Tumor erreicht - und zwar bei gleichzeitig relativ geringer Dosis im übrigen Körper. So wird die Wirkung optimiert und die Nebenwirkungen werden gleichzeitig minimiert.
TACE wird häufig bei Patientinnen und Patienten angewandt, bei denen eine operative Entfernung des Tumors nicht möglich ist. Es hat sich als wirksam in der Verkleinerung von Tumoren und in der Kontrolle des Tumorwachstums erwiesen. Durch die Kombination von Chemotherapie und Embolisation bietet TACE eine wertvolle Therapieoption, die das Überleben verbessern und die Lebensqualität von Patientinnen und Patienten mit Lebertumoren signifikant erhöhen kann.
Präzise Diagnostik bei Brustkrebs
Früherkennung und präzise Diagnostik spielen bei Brustkrebs eine sehr wichtige Rolle. Als Teil des Brustzentrums am UKS fließt unsere Expertise auch in die Behandlung von Erkrankungen der weiblichen Brust ein. Me
Weiterführende Informationen für Fachkreise und interessierte Patienten
Fallbeispiele Leber – Spiralembolisation von blutenden Lebermetastasen

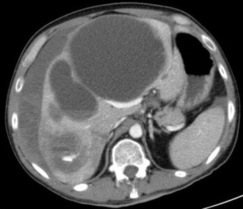
CT des Oberbauchs: Multiple zystische Lebermetastasen eines Klarzellsarkoms mit aktiver Blutung im Segment 6. Mehrere Blut-Flüssigkeitsspiegel in den zystischen Metastasen und subkapsulär.

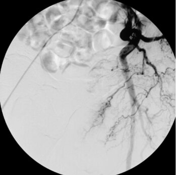
Digitale Subtraktionsangiografie: Superselektive Sondierung und Darstellung der mutliplen Blutungsherde. Die Leberarterien werden durch die zystischen Metastasen ausgespannt.

Digitale Subtraktionsangiografie: Nach Spiralembolisation mehrerer Subsegmentäste der A. hepatica stehen die zahlreichen Blutungen.
Fallbeispiele Leber – TACE (TransArterielle ChemoEmbolisation) der Leber

Digitale Subtraktionsangiografie: In der Leber zeigen sich multiple pathologische Anreicherungen, die Tochtergeschwülsten eines Karzinoids entsprechen.

Digitale Subtraktionsangiografie: Einen Monat nach der erfolgten Chemoembolisation, bei der direkt in die Leberarterie ein Medikament zur Tumorbehandlung gegeben wurde (TACE), stellen sich die zuvor zahlreichen Metastasen nicht mehr dar.
Fallbeispiel Bronchialkarzinom – Spiralembolisation eines blutenden Bronchialkarzinoms (Lungentumor)

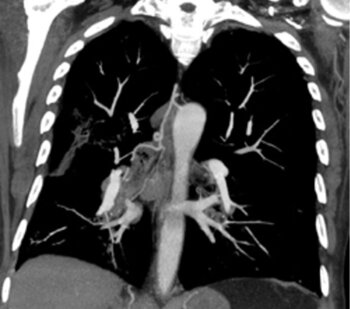
CT des Thorax (coronare MPR): Typisch gewundener Verlauf der kräftigen rechten Bronchialarterie, die den Lungentumor versorgt. (MPR=MultiPlanare Reformation)

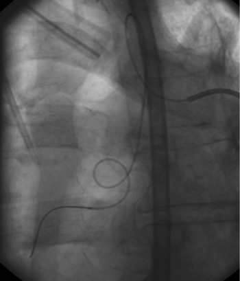
Angiografiebild: Zu erkennen ist ein Koaxialkatheter in der gewundenen Bronchialarterie.

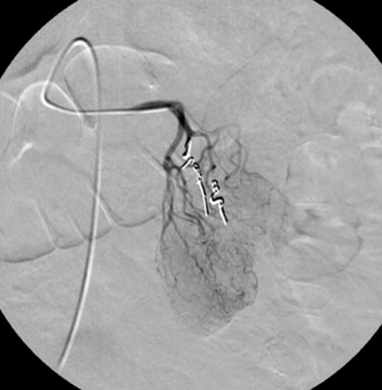
Digitale Subtraktionsangiografie: Nach Spiralembolisation der Bronchialarterie zeigt sich ein kompletter Verschluss des Gefäßes. Die Blutungen (Bluthusten) des Patienten kamen nach dem Eingriff zum Stillstand.
Fallbeispiel Darm – Spiralembolisation einer Darmblutung

Digitale Subtraktionsangiografie: Blutaustritt aus zwei Dünndarmarterien (Aa. jejunales).

Digitale Subtraktionsangiografie: Nach Verschluss der zuführenden Arterien kamen die Darmblutungen zum Stillstand.
Fallbeispiel Vaginalkarzinom – Spiralembolisation eines blutenden Vaginalkarzinoms (Scheidentumor)

Digitale Subtraktionsangiografie: Wegen wiederkehrenden Blutungen aus einem Scheidentumor erfolgte die Sondierung zunächst der linken A. pudenda (tumorversorgendes Gefäß).

Digitale Subtraktionsangiografie: Sodann wurde die linke A. pudenda mit Spiralen embolisiert (verschlossen)

Digitale Subtraktionsangiografie: Dasselbe Prozedere erfolgte auf der Gegenseite, mit Sondierung der rechten A. pudenda

Digitale Subtraktionsangiografie: Spiralembolisation dieses Gefäßes. Die Kontrolle zeigt wie auf der Gegenseite einen kompletten Verschluss. Die Blutungen der Patientin kamen hiernach zum Stillstand.
Kontakt & Ansprechpartner
Klinik für Diagnostische und Interventionelle Radiologie
Klinikdirektor Univ.-Prof. Dr. med.
Arno Bücker, M.Sc.
Chefsekretariat
Julia Hoffmann
+49 6841 16-24600
+49 6841 16 - 16 24601
+49 6841 16-24696
radiologie-sekretariat☞ Bitte fügen Sie an dieser Stelle ein @ ein ☜uks☞ Bitte fügen Sie an dieser Stelle einen Punkt ein ☜eu
In dringlichen medizinischen Notfällen können Sie die Klinik für Diagnostische und Interventionelle Radiologie zu jeder Tages- und Nachtzeit über die Notfalltelefonnummer des UKS kontaktieren
+49 6841 16-30000