MGMT-Status
Neuropathologische Diagnostik am UKS
MGMT-Aktivitätsstatus als molekularer Marker für das Ansprechen auf Chemotherapie
Die Aktivierung oder Inaktivierung von Genen spielt bei der Entstehung und der Behandlung von Krebs eine wichtige Rolle. Bei malignen Hirntumoren ist nach der operativen Entfernung des Tumorgewebes eine kombinierte Folgebehandlung aus Bestrahlung und Chemotherapie ein häufiges Mittel der Wahl. Alkylierende Chemotherapeutika (zum Beispiel Temozolomid) modifizieren die DNA in den Zellen durch eine Methylierung der Guanin-Base und leiten so das Absterben der Tumorzellen ein.
Das Institut für Neuropathologie am Universitätsklinikum des Saarlandes (UKS) bietet Diagnostik zur Bestimmung des MGMT-Status bei glialen Hirntumoren an. Dieser erlaubt eine Vorhersage über das Ansprechen der Tumore auf alkylierende Chemotherapeutika.
O6-Methyl-Guanin--Methyltransferase (kurz MGMT, kodiert durch das MGMT-Gen), ist ein Reparaturenzym, welches die DNA-Modifizierung alkylierender Chemotherapeutika rückgängig macht. Eine epigenetische Inaktivierung des MGMT-Gens durch Methylierung des Promoters wurde vermehrt in bestimmten Tumorarten beobachtet [1]. Patientinnen und Patienten mit inaktivem MGMT-Gen sprechen daher besser auf die Behandlung mit alkylierenden Chemotherapeutika an [1, 2].
MGMT-Status bei Glioblastomen
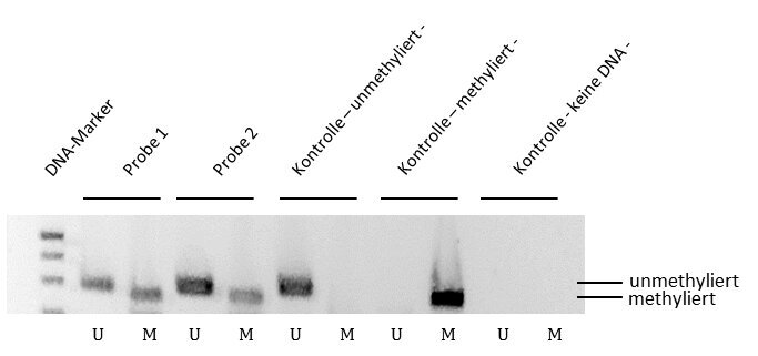
Bei Glioblastomen wird routinemäßig getestet, ob eine Inaktivierung durch Methylierung des MGMT-Promoters vorliegt. Dafür wird ein Bereich des MGMT-Gens mit Hilfe der methylspezifischen Polymerase-Kettenreaktion (MS-PCR) jeweils spezifisch für das methylierte, also inaktive, oder das unmethylierte, also aktive, Gen vervielfältigt [1, 3]. Der Grad der Methylierung ergibt sich dabei durch unterschiedlich starke Signale beider Reaktionsansätze. Zur Validierung der Ergebnisse werden mehrere Kontrollen eingesetzt.
Zur Quantifizierung wird die PCR-Analyse durch eine Sequenzierung des zugehörigen Genabschnittes ergänzt (Pyrosequencing). Zum Nachweis einer Methylierung wird die DNA so behandelt, dass sich ihre Sequenz an den methylierten Stellen nicht verändert, aber an den unmethylierten Stellen ein Austausch einer Cytosin-Base (C) durch eine Thymin-Base (T) erfolgt. Dadurch lassen sich methylierte und unmethylierte DNA bei der Sequenzierung unterscheiden. Beide Methoden liefern in Kombination ein sinnvolles molekulardiagnostisches Werkzeug und erlauben eine Vorhersage über das Ansprechen glialer Tumore auf den Einsatz von alkylierenden Chemotherapeutika.
Literatur:
[1] Esteller et al. 2000 NRJMed "Inactivation of the DNA-Repair Gene MGMT and the Clinical Response of Gliomas to Alkylating Agents."
[2] Johannessen et al. 2018 CancGenProteom "MGMT Gene Promoter Methylation Status – Assessment of Two Pyrosequencing Kits and Three Methylation-Specific PCR Methods for Their Predictive Capacity in Glioblastomas."
[3] Felsberg et al. 2009 ClinCancRes "Prognostic Significance of Molecular Markers and Extent
of Resection in Primary Glioblastoma Patients."

Bestimmung der MGMT-Methylierung mittels Pyrosequenzing
