Lippen-Kiefer-Gaumenspalten
Behandlungsspektrum
Das Aufgabengebiet der Klinik für Mund-, Kiefer- und Gesichtschirurgie am Universitätsklinikum des Saarlandes (UKS) umfasst die Diagnostik und Therapie von Erkrankungen der Mundhöhle, der Kieferknochen, des Gesichts und Teilen des Halses. Dabei halten wir in der Klinik für Mund-, Kiefer- und Gesichtschirurgie die gesamte Bandbreite an Leistungen vor, sowohl ambulant als auch stationär.
Lernen Sie nachfolgend unsere Schwerpunkte kennen.
Stationäre operative Eingriffe
Ein Teil der von uns durchgeführten Eingriffe erfolgt in der Regel unter stationären Bedingungen. Bei diesen Operationen handelt es sich häufig um Langzeiteingriffe, die bis zu mehreren Stunden dauern und den Einsatz moderner rekonstruktiver mikrochirurgischer Techniken erfordern. Zu den stationär durchgeführten Eingriffen gehören:
- die Fehlbildungschirurgie, die sich mit Lippen-Kiefer-Gaumensegelspalten sowie mit kraniofazialen Fehlbildungen, also mit Schädel-Gesichts-Fehlbildungen, beschäftigt
- die orthopädische Chirurgie des Gesichts-Schädels
- die Behandlung von gut- und bösartigen Tumoren der Kiefer- und Gesichtsregion
- die Versorgung von Verletzungen der Gesichts-Weichteile und der Kiefer- und Gesichts-Schädelknochen
- die Kiefergelenk-Chirurgie
- die präprothetische und präimplantologische Chirurgie: vorbereitende Eingriffe vor der Versorgung mit einer Zahnprothese oder zahnärztlichen Implantaten
- die ästhetische Gesichts-Chirurgie
- die septische Mund-, Kiefer- und Gesichtschirurgie: Eingriffe bei Infektionen und Abszessen
Ebenfalls in Intubationsnarkose, aber unter ambulanten Bedingungen, werden vermehrt mund-, kiefer-gesichtschirurgische Eingriffe durchgeführt. Dazu zählt unter anderem das Gebiet der dento-alveolären Chirurgie: Beispielsweise werden auf dieses Weise im Kiefer festsitzende (retinierte) Zähne entfernt, Implantate im Knochen verankert (Implantatinsertion) oder Knochensubstanz aufgebaut (Knochenaugmentation).
In unserer Poliklinik werden Erkrankungen aus dem Zahn-, Mund-, Kiefer- und Gesichtsbereich diagnostiziert, häufig mit Hilfe von Röntgen- und Ultraschalldiagnostik, und wenn möglich behandelt. Die dazu notwendigen operativen Eingriffe erfolgen in lokaler Betäubung und werden ambulant durchgeführt.
Lippen-Kiefer-Gaumenspalte
Lippen-Kiefer-Gaumenspalten und andere Spaltbildungen des Gesichts zählen zu den häufigsten angeborenen Fehlbildungen und entstehen bereits im Mutterleib. Ein Kind von 500 ist betroffen. Die Ursachen für die Entstehung dieser Fehlbildungen sind vielfältig. Daher spricht man von einem multifaktoriellen Geschehen.
Das Ausmaß der Fehlentwicklung und die Zahl der betroffenen Strukturen sind individuell unterschiedlich.
Je nach Ausprägungsgrad kommt es zu verschiedenen Funktionseinschränkungen:
- erschwerte Nahrungsaufnahme
- Veränderung der Gesichtsmimik (Lippen-, Wangen- und Nasenbewegung)
- ästhetische Beeinträchtigung, Lippendeformität, Nasendeformität
- Beeinträchtigung der Gesichtsschädel-Entwicklung
- Funktionsstörung des weichen Gaumens (Gaumensegel) mit Sprechstörungen und verändertem Stimmklang (zum Beispiel Näseln)
- Zahnfehlanlagen und Zahnstellungs-Anomalien
- Beeinträchtigung der Nasenatmung durch die fehlende Trennung von Nasen-, Mund- und Rachenraum
- gestörte Mittelohrbelüftung, Paukenerguss (Wasseransammlung im Mittelohr) und Hörminderung

Aus diesem Grund ist es von großer Bedeutung, ein patientenindividuelles und interdisziplinäres Behandlungskonzept zu erstellen, um für die Patientinnen und Patienten eine bestmögliche funktionelle, ästhetische wie auch psychosoziale Rehabilitation zu gewährleisten.
Unser Ziel in der Klinik für Mund-, Kiefer- und Gesichtschirurgie am UKS ist es, Sie ab der Schwangerschaft und Ihr Kind von der Geburt an bis zum 18. Lebensjahr zu begleiten. Dabei arbeiten wir eng mit der Klinik für Kieferorthopädie und der HNO-Klinik zusammen.
In der Schwangerschaft
Beratung der Eltern in der Klinik für Mund-, Kiefer- und Gesichtschirurgie am UKS
Kurz nach der Geburt
Vorstellung in der Klinik für Kieferorthopädie zur präoperativen, kieferorthopädischen Behandlung und Eingliederung der Gaumenplatte
Direkt nach der Geburt, sobald es der Zustand der Mutter und des Kindes erlauben
Erste Untersuchung des Kindes und Beratung der Eltern in der Klinik für Mund-, Kiefer- und Gesichtschirurgie am UKS
In regelmäßigen Abständen
Phoniatrische, pädaudiologische und HNO-ärztliche Betreuung: Phoniatrie und Pädaudiologie sind Spezialgebiete der HNO-Heilkunde, die sich mit Stimme, Sprache, Schlucken und kindlichem Gehör befassen
5. bis 6. Lebensmonat
Operation der Lippenspalte
11. bis 12. Lebensmonat
Operation der Gaumenspalte
Falls erforderlich, ab dem 3. Lebensjahr
Sprachheilbehandlung
5 bis 6 Jahre
Sprechverbessernde Operationen (Velopharyngoplastik)
Ab dem 6. Lebensjahr, individuell abhängig vom Ausbildungsgrad der Spaltbildung
Beginn der kieferorthopädischen Behandlung
Vor Durchbruch des seitlichen Schneidezahnes oder Eckzahnes des bleibenden Gebisses
(8- 11 Jahre)
Knöcherne Überbrückung des Kieferspalts (Osteoplastik)
15 bis 18 Jahre
Endgültige Korrekturen an der Nase und am Gesichtsschädel, prothetische Versorgung
Kontakt & Ansprechpersonen
Dr. med. H. Landau
Interdisziplinäres Behandlungsteam
Gebäude 56
Ansprechpartner: Univ.-Prof. Dr. J. Lisson
Sprechzeiten am Donnerstag von 8 bis 13 Uhr
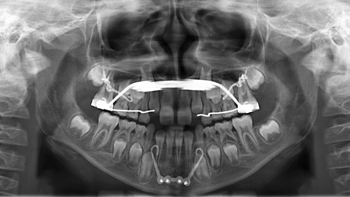
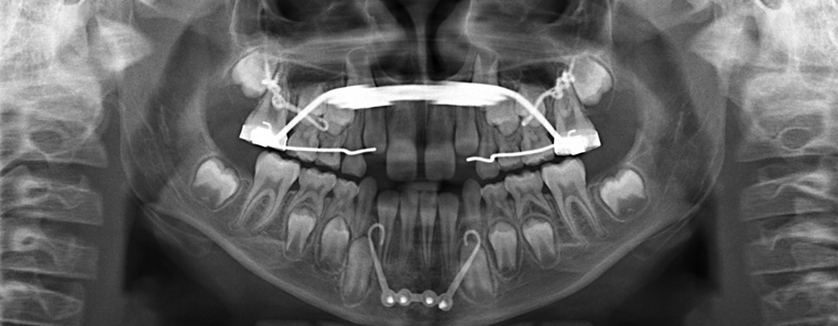
Dysgnathie-Chirurgie
Kieferfehlstellungen (Dysgnathien) können entweder dazu führen, dass der Ober- oder Unterkiefer zu weit vorne oder hinten liegt, manchmal auch schief zur Seite steht. Solche Fehlstellungen bringen das Gleichgewicht des Kauapparates durcheinander, was oft zu Schmerzen und Problemen beim Sprechen und Kauen führt. Wenn die Fehlstellung stark ausgeprägt ist, kann das auch das Aussehen beeinflussen und zusammen mit den funktionellen Problemen die Lebensqualität mindern.
Kleinere Fehlstellungen der Zähne und des Kiefers können meistens mit herausnehmen oder festen Zahnspangen kieferorthopädisch behandelt werden. Bei stärkeren Fehlstellungen ist allerdings oft eine Behandlung notwendig, die sowohl kieferorthopädische als auch kieferchirurgische Maßnahmen umfasst. Das bezeichnet man auch als kombinierte kieferorthopädisch-kieferchirurgische Therapie.

Grundsätzlich können zwei Behandlungsabläufe unterschieden werden:
Klassische Kombinationstherapie
Die Behandlung beginnt mit Kieferorthopädie, um mit festsitzender Zahnspange die Kieferbögen ideal auszuformen. Diese Vorbehandlung ermöglicht die optimale Anpassung der Zahnkontakte für die anschließende Umstellungsoperation.
Nach erfolgter Umstellungsoperation in der Klinik für Mund-, Kiefer- und Gesichtschirurgie am UKS folgt eine kieferorthopädische Feinjustierung. Die gesamte Behandlung erstreckt sich je nach Ausprägungsgrad der Fehlstellung über etwa zwei bis vier Jahre.
Surgery first
Bei dieser Behandlungsform liegen bereits bei Therapiebeginn harmonische Zahnbögen im Ober- und Unterkiefer vor, sodass auf eine kieferorthopädische Vorbehandlung verzichtet werden kann. Die Therapie beginnt daher mit der Umstellungsoperation. Anschließend folgt die kieferorthopädische Nachbehandlung. Die Behandlungsdauer ist in der Regel kürzer als bei der klassischen Kombinationstherapie, kann aber aufgrund der häufig komplexen Kieferfehlstellungen seltener zum Einsatz kommen.
Behandlungsablauf
Die Vorstellung in unserer Klinik wird in der Regel durch die behandelnde Kieferorthopädin oder den Kieferorthopäden eingeleitet. Auf telefonische Anfrage erhalten Sie einen Termin zur Dysgnathie-Sprechstunde in der Klinik für Mund-, Kiefer- und Gesichtschirurgie am UKS, welche mittwochs stattfindet. Hier bringen Sie bestenfalls die bereits vorhandenen Röntgenbilder sowie etwaige Gipsmodelle mit.
Sofern bei Ihnen chirurgischer Handlungsbedarf festgestellt wird, erhalten Sie entsprechende Unterlagen, mit denen die Kieferorthopädin oder der Kieferorthopäde die Behandlung bei der Krankenkasse beantragt.
Nach Genehmigung durch die Kasse und anschließend erfolgter kieferorthopädischer Vorbereitung stellen Sie sich erneut zur Planung der Operation in unserer Klinik vor.
Operationsplanung
Die Planung des Eingriffs erfolgt an unserer Klinik durch eine dreidimensionale Simulation der Bewegungen der zahntragenden Anteile der Kiefer anhand einer zuvor angefertigten DVT (digitale Volumentomografie, modernes 3D-Röntgenverfahren). Die für die Durchführung der Operation erforderlichen Schienen (Splints) können so ebenfalls in optimaler Passung 3D-gedruckt werden.
Alternativ kann die Operation „klassisch“ über Gipsmodelle in einem sogenannten Artikulator geplant werden. Die optimale Kiefer- und Zahnposition wird in der Regel über ein simultanes Verschieben des Ober- und Unterkiefers erreicht (bignathe Umstellungsoperation). In Einzelfällen und bei geringen Fehlstellungen kann ein operatives Verlagern von nur einem Kiefer ausreichend sein, auch als monognathe Umstellungsoperation bezeichnet. Die Dauer des stationären Aufenthaltes sowie die Nachbehandlung sind bei beiden Operationsformen identisch.
Je nach Ausmaß der Fehllage kann der Oberkiefer als Ganzes oder in Teilen bewegt werden. Über einen Zugang vom Mund wird die Mundschleimhaut über den Zähnen durchtrennt und der Kiefer mit dünnen Sägeschnitten gelöst. Die Einstellung der gewünschten Unterkieferposition und Verzahnung geschieht mit dem im Vorfeld hergestellten Splint. Nach der Verlagerung wird der Kiefer in der gewünschten Position durch Miniplatten aus Titan fixiert.
Ziel der Operation ist es, den zahntragenden Unterkieferkörper in die gewünschte Richtung zu verlagern und gleichzeitig die ursprüngliche Position beider Kiefergelenke beizubehalten.
Hierzu wird eine stufenförmige Schnittführung im Knochen gewählt. Nach Verlagerung des Unterkieferkörpers besteht so eine große Knochenanlagerungsfläche. Dies trägt zur raschen Knochenheilung und maximalen Stabilität des Operationsergebnisses bei. Die Einstellung der gewünschten Unterkieferposition und Verzahnung geschieht mit dem im Vorfeld hergestellten Splint. Nach der Verlagerung wird der Kiefer in der gewünschten Position durch Miniplatten aus Titan fixiert.
Trotz optimaler Verzahnung und harmonischer Lagebeziehung beider Kiefer zueinander kann es vorkommen, dass das Kinn zu stark oder zu schwach ausgeprägt erscheint. Dies lässt sich durch eine sogenannte Kinnplastik korrigieren. Dabei wird das Kinn nach vorn oder hinten, oben oder unten verlagert. Die gewünschte ästhetische Veränderung wird präoperativ anhand von Röntgenbildern geplant. Bei der Operation wird durch einen Zahnfleischschnitt vom Mund aus das Kinn freigelegt. Unterhalb der Zahnwurzeln wird es in die gewünschte Position verschoben und dann mit Titan-Miniplatten fixiert.
Nachbehandlung
- Nach der Operation werden zur Sicherung des Ergebnisses die Kiefer ruhiggestellt. Dies geschieht mit straffen Gummibändern (Gummiligaturen) über die Zahnspange. In dieser Zeit wird zur optimalen Einhaltung der neuen Kieferposition zusätzlich der eingegliederte Splint getragen.
- Der stationäre Aufenthalt erstreckt sich je nach Eingriff über drei bis sieben Tage.
- Nach Entlassung kontrollieren wir in einem Zeitraum von etwa sechs Wochen nach der Operation in regelmäßigen Abständen den Heilungsverlauf. Die entsprechende Weiterbehandlung zur endgültigen Ausformung der Zahnbögen stimmen wir mit Ihrer behandelnden Kieferorthopädin oder Ihrem Kieferorthopäden ab.
Kontakt & Ansprechpersonen
Dysgnathie-Sprechstunde
Die Dysgnathie-Sprechstunde findet jeden Dienstag von 8 bis 16 Uhr statt.
Eine Terminvereinbarung ist täglich telefonisch über unsere Anmeldung möglich.
Leiter der Dysgnathie-Sprechstunde: Dr. med. Dr. med. dent. Michael Fehrenz M.Sc.
Operative Frühbehandlung von Kieferfehlstellungen
Von einer kieferorthopädischen Frühbehandlung spricht man, wenn die Behandlung von Fehlstellungen der Kiefer und Zähne schon zwischen dem vierten und neunten Lebensjahr, das heißt im Milchgebiss oder in der frühen Phase des Zahnwechsels, durchgeführt wird.
Hierfür kann es verschiedene Gründe geben:
- frühzeitiger Verlust von Milchzähnen, die dann als Platzhalter fehlen
- weit vorstehende bleibende Schneidezähne mit damit einhergehender Verletzungsgefahr
- Krankheiten und Fehlbildungen, die das Wachstum von Kiefer und Gesicht beeinflussen, wie Lippen-Kiefer-Gaumenspalten, Down-Syndrom oder Pierre-Robin-Syndrom
- bei starker Überentwicklung des Unterkiefers oder starker Unterentwicklung des Oberkiefers
- bei Nichtanlage bleibender Zähne
- Folgen von Verletzungen, zum Beispiel Kiefergelenkfrakturen
Mentoplates
Bei den Mentoplates handelt es sich um spezielle kieferorthopädische Knochenplatten. Diese können auf Wunsch der behandelnden Kieferorthopädin oder des behandelnden Kieferorthopäden in unserer Klinik für Mund-, Kiefer- und Gesichtschirurgie am UKS in einem kleinen operativen Eingriff von der Mundhöhle aus am Knochen des Ober- und Unterkiefers fixiert werden.
Die Mentoplates dienen dazu, das Kieferwachstum zu beeinflussen. Sie werden insbesondere im Rahmen der Frühbehandlung bestimmter Kieferfehlstellungen eingesetzt, bei sogenannten Klasse-II- und Klasse-III-Anomalien. Somit können unkomfortable kieferorthopädische Geräte wie Gesichtsmasken oder Kopf-Kinn-Kappen, welche außerhalb der Mundhöhle am Kopf getragen werden müssen, zum Teil vermieden werden.

Onkologische und plastisch-rekonstruktive Chirurgie
Das Behandlungsspektrum unserer Klinik für Mund-, Kiefer- und Gesichtschirurgie am UKS umfasst die Therapie sämtlicher gutartiger und bösartiger Tumore des Mund-, Kiefer- und Gesichtsbereichs.
Schwerpunkt ist die Behandlung von bösartigen Tumorender Mundhöhle, aber auch der Gesichts- und Kopfhaut sowie der Speicheldrüsen.
Bei der Behandlung von bösartigen Tumorerkrankungen liegt unser Anspruch in der chirurgischen Therapie und Betreuung unserer Patientinnen und Patienten vom Zeitpunkt der Diagnosestellung bis zur vollständigen Rehabilitation.

Nach Diagnosesicherung einer Krebserkrankung durch Gewinnen einer Gewebeprobe folgen verschiedene Voruntersuchungen mittels Computertomographie (CT) von Kopf, Hals und Lunge sowie gegebenenfalls eine Lungen- und Magenspiegelung, um zu bestimmen, wie weit sich der Tumor ausgebreitet hat. Außerdem geht es auch darum weitere Tumoren auszuschließen und Hinweise auf Metastasen zu suchen.
Die Behandlung von bösartigen Erkrankungen der Mundhöhle richtet sich nach nationalen und interdisziplinär erstellten Leitlinien und ist abhängig von:
- Art des Tumors
- Lage des Tumors
- Größe des Tumors
- Befall der Lymphknoten und anderen Organen (Metastasen)
- Allgemeinzustand der Patientin oder des Patienten
Im Anschluss an die Diagnostik wird im Rahmen einer wöchentlichen Tumorkonferenz in Zusammenarbeit mit weiteren Fachdisziplinen wie der Strahlentherapie, Onkologie, HNO-Heilkunde, Pathologie sowie der Radiologie ein individuelles Therapiekonzept festgelegt. Dieses wird anschließend mit der Patientin oder dem Patienten besprochen, um eine gemeinsame Therapieentscheidung zu treffen.
Das Therapieziel ist in erster Linie die vollständige chirurgische Entfernung des Tumors und der Lymphabflusswege dar. In der Regel versuchen wir in der gleichen Operation, die durch die Entfernung entstandenen Lücken mit Gewebe wie Haut, Muskel oder Knochen zu reparieren, die wir von anderen Körperstellen entnehmen. Dabei setzen wir neue Techniken und 3D-Planung ein, um auf die Patientin oder den Patienten abgestimmte Transplantate und Platten herzustellen. Auf diese Wiese können wir eine optimale funktionelle und ästhetische Wiederherstellung ermöglichen.
Bei besonders aggressiven Tumoren kann zusätzlich eine Strahlentherapie nach der Operation nötig sein. Wenn eine Operation nicht möglich ist, wird die Behandlung mit Strahlen- und/oder Chemotherapie durch die Kolleginnen und den Kollegen der Radioonkologie durchgeführt.
Nach der Behandlung werden die Patientinnen und Patienten regelmäßig in unserer Sprechstunde für Krebsnachsorge untersucht. Diese Untersuchungen beinhalten – entsprechend der Leitlinien – regelmäßige Checks und Bildgebungen wie CT oder MRT, um sicherzustellen, dass der Tumor nicht zurückgekehrt ist.
Therapiebegleitend kann eine psychoonkologische Betreuung, soziale Betreuung sowie eine Ernährungsberatung erfolgen. Weitere Unterstützung können Betroffene und Angehörige unter Umständen in Kontakt mit der Selbsthilfegruppe Kopf-Hals-M.U.N.D. Krebs e. V. erfahren.
Ein wichtiger Teil der Behandlung nach der Operation ist es, die Kau-Funktion wiederherzustellen, was manchmal mit neuen Zähnen oder Zahnprothesen erreicht wird. Dies ist besonders wichtig bei Eingriffen im Kieferbereich und erfolgt in Zusammenarbeit mit unseren zahnmedizinischen Kolleginnen und Kollegen der Klinik für Zahnärztliche Prothetik.
Neben der Behandlung bösartiger Veränderungen bieten wir auch die Entfernung gutartiger Veränderungen an, welche vielfach im Bereich der Gesichtshaut auftreten.
Je nach Ausdehnung und Lage können diese zum Teil auch unkompliziert ambulant und in örtlicher Betäubung entfernt werden. Der Verschluss oder die Wiederherstellung der entnommenen Hautanteile erfolgt in der Regel in einem zweiten operativen Eingriff, sobald das Ergebnis der feingeweblichen Untersuchung vorliegt. So kann man sichergehen, dass der Tumor vollständig entfernt wurde.
Dies dauert im Durchschnitt circa zwei Wochen. In der Zwischenzeit wird die Operationswunde mit einem speziellen Verband abgedeckt, welcher in regelmäßigen Abständen in unserer Ambulanz gewechselt wird.
Bei all diesen Eingriffen, besonders im Gesicht, legen wir großen Wert darauf, dass das Ergebnis nicht nur die Funktion optimal wiederherstellt, sondern auch gut aussieht.
Kontakt & Ansprechpersonen
Sprechstunde für onkologische und plastisch-rekonstruktive Chirurgie
Jeden Montag von 8 bis 16 Uhr
Eine Terminvereinbarung ist täglich telefonisch möglich.
Leiter des Bereichs Onkologische und plastisch-rekonstruktive Chirurgie
Leitender Oberarzt und stellvertretender Klinikdirektor: Priv.- Doz. Dr. med. Dr. med. dent. Dominik Horn
Dentoalveoläre Chirurgie
Unter dentoalveolärer Chirurgie versteht man chirurgische Eingriffe, die im Bereich der zahntragenden Kieferanteile durchgeführt werden, bekannt als zahnärztliche Chirurgie. Diese komplexen Eingriffe gehören zu unseren Kernkompetenzen.
Notwendig werden solche Eingriffe häufig durch verlagerte Zähne, zum Beispiel Weisheitszähne, Zysten in den Kieferhöhlen und gutartige Tumoren des Zahnhalteapparats und des Kieferknochens. Die Operationen werden insbesondere dann bei uns durchgeführt, wenn sie aufgrund eines erhöhten Schwierigkeitsgrades nicht in einer zahnärztlichen Praxis realisierbar sind. Darüber hinaus bieten wir eine spezialisierte Betreuung für Patientinnen und Patienten mit Allgemeinerkrankungen und erhöhten Risikoprofilen, die eine intensivere Überwachung während und nach der Operation erfordern.
In direkter Nachbarschaft des Kiefers verlaufen wichtige Strukturen wie etwa Nerven und Gefäße. Um das Risiko einer Verletzung und die Ausdehnung der Operation so gering wie möglich zu halten, empfehlen wir in bestimmten Fällen vor dem Eingriff eine 3D-Röntgendiagnostik, bekannt als Digitale Volumentomographie (DVT). Diese Art der Bildgebung wird jedoch von den gesetzlichen Krankenkassen in der Regel nicht übernommen.
Als Alternative besteht die Möglichkeit, notwendige Schnittbildgebungen (MRT oder CT) in einer niedergelassenen radiologischen Praxis durchführen zu lassen. Dies kann nach einer Überweisung durch Ihre Hausärztin oder Ihren Hausarzt erfolgen. Der dabei erstellte Bilddatensatz kann dann zur Vorbesprechung mitgebracht werden, um die Operation optimal zu planen und durchzuführen.
Die meisten dentoalveolären Eingriffe können effektiv unter lokaler Betäubung durchgeführt werden, wobei eine leichte Narkose mittels Lachgas möglich ist. Diese Sedierung erfordert allerdings eine private Zuzahlung. Für Patientinnen und Patienten mit Vorerkrankungen oder Kinder, die nicht kooperieren können, ist eine Vollnarkose notwendig. Wir informieren Sie im Vorgespräch ausführlich über die Möglichkeiten und Risiken der in Frage kommenden Verfahren.


Zahnärztliche Implantate
Ein weiterer Fokus unserer Klinik für Mund-, Kiefer- und Gesichtschirurgie am UKS liegt auf der dentalen Implantologie für komplexe Fälle und vorerkrankte Patientinnen und Patienten. Zahnimplantate werden zur Verankerung von Kronen, Brücken oder Prothesen im Kiefer eingesetzt und zielen auf die Wiederherstellung der Kaufähigkeit ab. Eine präzise Planung der Operation ist entscheidend, um Implantate optimal zu positionieren und angrenzende Risikostrukturen zu schützen. Dabei nutzen wir häufig digitale Planungsprogramme, die durch spezielle Schablonen die Präzision und Sicherheit während der Operation verbessern. Zahnimplantate sind in der Regel keine Leistung der gesetzlichen Krankenkassen, außer bei Patienten mit Tumorerkrankungen oder angeborenen Fehlbildungen. Wir beraten Sie gerne zu individuellen Lösungen für Ihre dentale Rehabilitation, auch in Kooperation mit Ihrer Hauszahnärztin oder Ihrem Hauszahnarzt.









