Kieferorthopädische Früherkennung und Behandlung bei Kindern und Jugendlichen am UKS
Muss mein Kind zum Kieferorthopäden?
Die Frage, ob eine kieferorthopädische Behandlung notwendig ist, lässt sich in der Regel erst nach einer Beratung in der Klinik für Kieferorthopädie des Universitätsklinikums des Saarlandes (UKS) oder bei einem niedergelassenen Fachzahnarzt oder Fachzahnärztin für Kieferorthopädie beantworten. Eine kieferorthopädische Behandlung bei Kindern und Jugendlichen kann bereits durchgeführt werden, bevor alle "bleibenden" Zähne durchgebrochen sind.
Den richtigen Zeitpunkt nicht verpassen
In bestimmten Fällen ist eine kieferorthopädische Behandlung bei Kindern schon viel früher nötig und möglich. Bei einem Fehlwachstum des Gebiss-Skeletts etwa sollte die Behandlung im Alter von 4 bis 6 Jahren beginnen. Besonders häufig tritt der einseitige Kreuzbiss auf.
Während sich Zahnfehlstellungen prinzipiell in jedem Lebensalter korrigieren lassen, ist ein durch Fehlstellungen verursachtes Fehlwachstum der Kieferknochen bei Erwachsenen nicht mehr ohne Operation rückgängig zu machen. Die sogenannte Schwenkung des Kiefers kann dann im Erwachsenenalter zu erheblichen Problemen mit der Kaumuskulatur, den Kiefergelenken und sogar dem Bewegungsapparat führen.
Wann sollte man zum ersten Mal zum Kieferorthopäden gehen?
Günstige Zeitpunkte zur Vorstellung Ihres Kindes bei einer Fachzahnärztin oder einem Fachzahnarzt für Kieferorthopädie:
4-6 Jahre: Kontrolle bei Spaltbildungen (Lippen-Kiefer-Gaumenspalte), Kreuzbiss, offenem Biss, extremer Unterkiefer- oder Oberkieferrücklage
8 Jahre: Überprüfung der Entwicklung der vorderen Zähne beim Zahnwechsel, um Verletzungsrisiken zu vermeiden
10 Jahre: Kontrolle wegen Engständen, falschen Verzahnungen, Verlagerungen, Nichtanlagen, Unterkiefer-Positionsabweichungen
12-13 Jahre: Kontrolle des nun vollständigen Gebisses in Bezug auf Funktionsfähigkeit, Therapie von Zahnstellungsanomalien und Unterkiefer-Positionsabweichungen
ab 16 Jahre: Behandlung eines erheblich ausgeprägten skelettalen Fehlwachstums der Kieferzusammen mit der mit der Mund-, Kiefer- und Gesichtschirurgie (MKG-Chirurgie)
Diese Liste dient nur als unverbindliche Orientierung. Es gibt zu viele individuelle Krankheitsbilder, um diese umfassend aufzulisten. Wenn Sie die genannten Zeiten einhalten, verpassen Sie für die Entwicklung des Gebisses Ihres Kindes keinen wichtigen Zeitpunkt. Eine frühzeitige Untersuchung und gegebenenfalls Behandlung in der Klinik für Kieferorthopädie des UKS oder durch niedergelassene Fachzahnärztinnen und Fachzahnärzte für Kieferorthopädie sorgt für eine gesunde Entwicklung des Gebisses Ihres Kindes. Bitte sprechen Sie uns an und vereinbaren einen Termin.
Sie benötigen für die Vorstellung Ihres Kindes bei uns KEINE Überweisung Ihrer Hauszahnärztin oder Ihres Hauszahnarztes, die Gesundheitskarte Ihrer Krankenkasse reicht bei Patientinnen und Patienten bis zum 18. Geburtstag aus.
Verschiedene Fehlstellungen bei Kindern

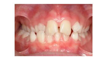
Einseitiger Kreuzbiss

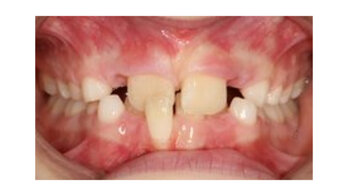
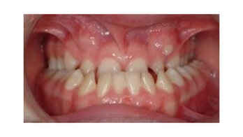
Falsche Verzahnung

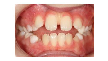
Offener Biss

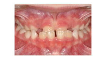
Umgekehrte Stufe

Oberkiefer zu klein

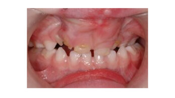
Engstand

LKG-Spalte Milchgebiss
Infoblätter zum Download
Sie finden hier Infoblätter zur Behandlung für Eltern (E) sowie Patientinnen und Patienten (P)
