Kieferorthopädische Behandlung bei Erwachsenen am UKS
„Kieferorthopädie bei Erwachsenen? Das geht doch gar nicht.“ Oder: „Ich hätte ja gerne gerade Zähne, aber bin ich für Kieferorthopädie nicht schon zu alt?“ Diese Gedanken kennen Sie? Dann lohnt sich möglicherweise ein Besuch beim Kieferorthopäden, denn eine kieferorthopädische Behandlung ist auch bei Erwachsenen möglich.
Die Möglichkeiten einer kieferorthopädischen Behandlung sind bei Erwachsenen ähnlich wie bei Kindern. Dabei sind Ästhetik und Funktion häufig die Hauptgründe, warum Erwachsene die Klinik für Kieferorthopädie am UKS aufsuchen.
Therapie von Fehlstellungen am UKS
Die Kieferorthopädie am UKS bietet umfassende und vielfältige Behandlungsmöglichkeiten, um mit einer kieferorthopädischen Behandlung Fehlstellungen zu korrigieren.
- Korrigieren einer Fehlstellung zur Vorbereitung auf ein Implantat
- Schließen einer Zahnlücke, wenn ein fehlender Zahn nicht durch Implantate, Brücken oder andere Zahnersatzlösungen ersetzt werden soll
- Korrektur von Zahnfehlstellungen nach einer erfolgreich abgeschlossenen Parodontitis-Behandlung
- Behandlung von Engständen aller Art
- Kieferorthopädisch-kieferchirurgische Behandlung bei Fehlstellungen des Kiefers, sogenannten Dysgnathien
Dies ist nur eine Auswahl möglicher Behandlungsfelder. Die Kieferorthopädie am UKS bietet weitere Therapieansätze und Korrekturmöglichkeiten, bitte sprechen Sie uns an und lassen Sie sich beraten.
Kosten bei einer kieferorthopädischen Behandlung am UKS
Die Kosten für eine Untersuchung und Beratung übernimmt auch bei Erwachsenen oftmals die gesetzliche Krankenkasse. Darüber hinaus werden die Behandlungskosten nur in Einzelfällen bei bestimmten Krankheitsbildern übernommen. Das Team der Kieferorthopädie am UKS informiert Sie gerne.
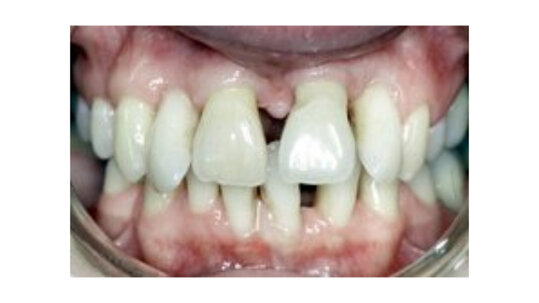
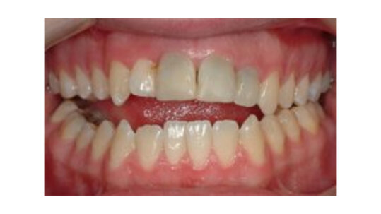
Abbildungen KFO bei Erwachsenen




