Pränataldiagnostik und Schwangerenambulanz
Pränataldiagnostik und Schwangerenambulanz
Die Schwangerschaft ist ein ganz neuer Lebensabschnitt, der viele Veränderungen mit sich bringt. Zunehmend wollen werdende Mütter und Väter schon vor der Geburt möglichst viel über den Zustand des entstehenden Kindes wissen. In der Pränataldiagnostik und Schwangerenambulanz nehmen wir uns diesem Anliegen in Form einer umfassenden Beratung, Betreuung und Begleitung an. Zu unserem Leistungsspektrum gehören umfangreiche vorgeburtliche Untersuchungen, die wir im Rahmen unserer Expertise mit modernster Technologie durchführen, sowie die pränatale Therapie verschiedener Krankheitsbilder (z.B. Nabelschnurtransfusion bei fetaler Anämie, Shuntanlagen, etc.)
Pränatale Diagnostik & Therapie,
gynäkologische Sonographie
Sprechzeiten
Montag bis Donnerstag
8 :00 bis 16:00 Uhr
Freitag
8:00 bis 13:00 Uhr
Nach telefonischer Vereinbarung
+49 6841 16-28145
Ansprechpartner
Wann Sie bei uns in der Pränataldiagnostik und Schwangerenambulanz richtig sind
Vor allem Patientinnen mit Verdacht auf Fehlbildungen oder genetische Störungen kommen zu uns in die Sprechstunde der Pränataldiagnostik und Schwangerenambulanz in der Frauenklinik. Aber auch Frauen über 35 Jahre, die ein erhöhtes Risiko für eine kindliche Fehlanlage haben, sowie Eltern mit einem erhöhten Sicherheitsbedürfnis für das ungeborene Kind nutzen unsere Spezialisierung am UKS.
Rund 3 bis 5 Prozent aller Kinder gesunder Eltern kommen mit einer angeborenen Fehlbildung zur Welt. Circa 0,5 Prozent der Neugeborenen leiden an einer Störung der Erbanlagen, auch als Chromosomenstörungen bekannt. In unserer Frauenklinik stellen wir ergänzend zu einer umfassenden Ultraschall-Diagnostik auch eine invasive und nicht-invasive Pränataldiagnostik, sowie eine individuelle Therapie des Fetus sicher, der sich unser hochspezialisiertes Team annimmt.
Wir behandeln dabei jede Patientin in enger Kooperation mit Kolleginnen und Kollegen angrenzender Fachgebiete wie der Neonatologie (Früh- und Neugeborenenmedizin) oder Kinderkardiologie (Kinderherzmedizin). So sind wir in der Pränataldiagnostik und Schwangerenambulanz an Ihrer Seite, wenn beim Kind Auffälligkeiten festgestellt werden. Wir sind in der Lage, Patientinnen eine optimale Betreuung vor aber auch während und nach der Entbindung anzubieten.
In der folgenden Übersicht können Sie einen Einblick in unser Spektrum an vorgeburtlicher Diagnostik und Therapie in der Pränataldiagnostik und Schwangerenambulanz gewinnen.
Untersuchungstermine in der Übersicht
Alle wichtigen Informationen und Termine während Ihrer Schwangerschaft finden Sie auf unserem Merkblatt
Vorgeburtliche Untersuchungen in der Frauenklinik am UKS
Im Rahmen der vorgeburtlichen Untersuchungen bieten wir in der Pränataldiagnostik und Schwangerenambulanz ein breites Spektrum diagnostischer und therapeutischer Leistungen auf hohem, universitärem Niveau an. Diese werden von DEGUM- (Deutsche Gesellschaft für Ultraschall in der Medizin) und FMF- (Fetal Medicine Foundation) zertifizierten Spezialistinnen und Spezialisten erbracht.
Allgemein unterscheiden wir nicht-invasive von invasiven Untersuchungen. Zu den nicht-invasiven gehört in erster Linie die Ultraschall-Feindiagnostik, die unter anderem auch als „Fehlbildungsultraschall“ bezeichnet wird. Dabei beurteilen wir das Kind genauestens von Kopf bis Fuß, einschließlich aller inneren Organe. In einigen Fällen kann es aber auch sinnvoll für Mutter und Kind sein, weiterführende nicht-invasive Untersuchungen, wie die Abklärung von mütterlichem Blut oder Urin, durchzuführen.
Bei speziellen Fragestellungen können invasive Untersuchungen sinnvoll sein. Dazu gehört unter anderem die Entnahme von Fruchtwasser, von Material aus dem Mutterkuchen und von Blut aus der Nabelschnur. Nach einer individuellen Beurteilung und ausführlichen Beratung entscheiden wir gemeinsam in der Pränataldiagnostik und Schwangerenambulanz, welche Untersuchung für Sie am zielführendsten ist. Lernen Sie unsere Möglichkeiten nachfolgend genauer kennen.
Nicht-invasive vorgeburtliche Untersuchungen
Mütterliche Bluttests
Tripletest
Beim Tripletest handelt es sich um einen Bluttest, der ab der 16. Schwangerschaftswoche (SSW) zur Risikoabschätzung von Chromosomenstörungen oder bestimmten kindlichen Fehlbildungen durchgeführt werden kann. Die Erkennungsrate von Chromosomenstörungen liegt bei circa 60 Prozent. Allerdings erreichen wir bereits mit dem Erst-Trimester-Screening, bei dem eine Nackentransparenzmessung in der Regel mit einer Blutentnahme (Untersuchung von freiem ß-HCG und PAPP-A) kombiniert wird, eine höhere Entdeckungsrate. Aus diesem Grund kommt diesem Test heutzutage eine geringe Bedeutung zu.
Mütterlicher Bluttest im Rahmen des Erst-Trimester-Screenings (Untersuchung von freiem ß-HCG und PAPP-A)
Freies ß-HCG und PAPP-A sind biochemische Marker, die im Blut von Schwangeren bestimmt werden können, um das Risiko von Trisomie 21 und anderen Chromosomenstörungen abzuschätzen. Der Bluttest wird in der Regel mit einer Nackentransparenzmessung im Ultraschall ergänzt. Durch die Kombination von Ultraschall und mütterlicher Blutuntersuchung kann ein höheres Maß an Sicherheit gewonnen werden.
TORCH-Serologie
Die TORCH-Serologie ist eine Gruppe von Bluttests. Diese dienen der Abklärung von mütterlichen Infektionskrankheiten wie Toxoplasmose, Röteln, Zytomegalie, Hepatitis, Herpes und anderen Erkrankungen, die sich bei einer Schwangerschaft negativ auswirken können.
Bluttests auf spezielle schwangerschaftsbedingte sowie chronische mütterliche Erkrankungen
Diese Untersuchungen dienen der Diagnose und Früherkennung von schwangerschaftsbedingten Erkrankungen:
- Präeklampsie („Schwangerschaftsvergiftung“)
- Schwangerschaftsdiabetes („Zuckerkrankheit“)
- Thrombophilie (Thromboseneigung)
- chronisch-entzündliche Darmerkrankungen in der Schwangerschaft
- spezielle Lebererkrankungen (zum Beispiel Schwangerschafts-Cholestase)
- Bluterkrankungen und anderen Erkrankungen
Humangenetische Beratung
Laut Gesetzgeber muss vor und nach einer vorgeburtlichen Untersuchung eine humangenetische Beratung der Schwangeren erfolgen. Die Beratung wird normalerweise in unserer Pränataldiagnostik und Schwangerenambulanz von speziell geschulten Ärztinnen und Ärzten, bei komplexeren Zusammenhängen aber auch in Kooperation mit Fachärztinnen und Fachärzten für Humangenetik durchgeführt.
Ersttrimester-Screening zur Risikoabklärung einer Chromosomenstörung
Darstellung der Nackentransparenz bei einem Fetus in 13. SSW
Unter der Nackentransparenz versteht man die mittels Ultraschalls darstellbare Flüssigkeitsansammlung unter der kindlichen Haut im Nackenbereich. Die Dicke dieser Nackenfalte wird zwischen der SSW 11+0 und SSW 13+6 gemessen. Ist diese vergrößert, so ist das Risiko für eine Chromosomenstörung wie zum Beispiel Trisomie 21 (Down-Syndrom) oder bestimmte Fehlbildungen wie etwa Herzfehler erhöht.
Anhand der gemessenen Werte lässt sich mittels einer speziellen Software das individuelle Risiko für die Patientin errechnen. Durch diese Methode können wir in der Pränataldiagnostik und Schwangerenambulanz unter Berücksichtigung des mütterlichen Alters circa 80 Prozent der Kinder mit den schwerwiegendsten Chromosomenstörungen erkennen.
Die Sensitivität kann durch die Kombination mit einer Blutentnahme bei der Mutter zur Bestimmung der Hormone PAPP-A und des freien ß-HCG erhöht werden. Die Entdeckungsrate liegt dann bei circa 90 Prozent. Die Erkennungsrate kann nochmals erhöht werden, indem man im Ultraschall das Nasenbein des Fetus und andere Zusatzparameter (z.B. Ductus venosus) ausmisst.
Das umfangreiche Erst-Trimester-Screening hilft der Patientin bei der Entscheidung für oder gegen eine invasive Diagnostik. Gerade Patientinnen über 35 Jahren, die ein erhöhtes Risiko für eine Trisomie 21 haben, kann so unter Umständen eine invasive Diagnostik erspart bleiben. Das Erst-Trimester-Screening wird in unserer Pränataldiagnostik und Schwangerenambulanz von speziell geschulten, zertifizierten Untersucherinnen und Untersuchern durchgeführt. Im Rahmen der Ultraschalluntersuchung wird der Fetus auch erstmalig auf Fehlbildungen untersucht. Eine ausführliche Feindiagnostik zwischen der 20. und 22. SSW kann diese frühe Ultraschalluntersuchung jedoch nicht ersetzen. In unklaren Fällen oder auf Wunsch der Patienten kann auch eine ergänzende Untersuchung zeIlfreier DNA aus dem mütterlichen Blut ein höheres Maß an Sicherheit erreichen. Ein stufenweises Vorgehen in Abhängigkeit von der Dicke der Nackenfalte wird hierbei empfohlen. Wir beraten Sie hierzu individuell.

Erst-Trimester-Screening zur Risikoabklärung einer Schwangerschaftsvergiftung (Präeklampsie-Screening)
Bereits in der Frühschwangerschaft kann bei gefährdeten Patientinnen im Rahmen des Erst-Trimester-Screenings das Risiko für eine Präeklampsie (Schwangerschaftsvergiftung) abgeschätzt werden. Dies erfolgt bei uns in der Pränataldiagnostik und Schwangerenambulanz durch die Kombination aus mütterlichen Blutwerten und Dopplerultraschall (spezielle Art des Ultraschalls). Als Risikopatientinnen gelten Patientinnen, welche schon vor der Schwangerschaft einen hohen Blutdruck aufweisen oder schon einmal in der letzten Schwangerschaft an einer Schwangerschaftsvergiftung oder einem Hellp-Syndrom (schwerere Form der Präeklampsie) litten.
Zweit- und Dritt-Trimester-Screening zur Risikoabklärung von Fehlbildungen
Kindliches Gesicht im Profil
Zahlreiche kindliche Erkrankungen lassen sich mittels einer weiterführenden Feindiagnostik mit hochauflösenden Ultraschallgeräten frühzeitig erkennen. Idealerweise wird diese Untersuchung zwischen der 20. und der 22. Schwangerschaftswoche durchgeführt. Zu diesem Zeitpunkt ist die Entwicklung aller Organe bereits weitgehend abgeschlossen. In unserer Pränataldiagnostik und Schwangerenambulanz wird eine solche Untersuchung von speziell geschultem und erfahrenem Personal durchgeführt.
Im Rahmen der Diagnostik untersuchen wir die kindlichen Organe wie das Herz und die Nieren, aber auch andere Strukturen wie etwa das Gehirn oder Gesicht zum Ausschluss einer Lippen-Kiefer-Gaumenspalte. Auch die Wirbelsäule mit der Fragestellung nach einem offenen Rücken oder die Knochen werden beurteilt.
In unserer Frauenklinik am UKS wird nicht nur eine umfassende vorgeburtliche Diagnostik durchgeführt. Bestimmte Erkrankungen darunter eine kindliche Blutarmut aufgrund von Infektionen oder Blutgruppenunverträglichkeiten zwischen Mutter und Kind können wir bereits pränatal behandeln. In enger Kooperation mit den Kolleginnen und Kollegen der angrenzenden Fachgebiete wird der Patientin eine umfassende Beratung bei kindlichen Auffälligkeiten angeboten. So steht bei einer kindlichen Erkrankung oder Fehlbildungen nach der Geburt einer optimalen Versorgung nichts im Wege. So legen wir das Fundament für einen guten Start ins Leben.

„Genetische Sonografie“
Manche Patientinnen wünschen keine invasive Diagnostik zur Abklärung von Störungen der Erbanlagen. Als Alternative bieten wir in der Pränataldiagnostik und Schwangerenambulanz die „genetische Sonografie“ an. Hier wird gezielt nach bestimmten für eine Chromosomenstörung charakteristischen Auffälligkeiten gesucht, welches eine Risikoabschätzung zulässt.
Allerdings hat jede Diagnostik ihre Grenzen. Gerade bei ungünstiger Kindslage oder einer kräftigeren mütterlichen Bauchdecke kann die Untersuchung manchmal erschwert sein. Selbst sehr erfahrene Untersuchende können Fehlbildungen nicht hundertprozentig ausschließen.
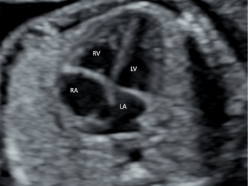
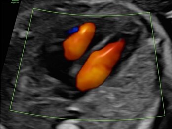
Zweit- und Dritt-Trimester-Screening zur Risikoabschätzung eines Herzfehlers
Mittels einer speziellen Feindiagnostik untersuchen wir in der Pränataldiagnostik und Schwangerenambulanz das Herz des Kindes genauer. Unter zusätzlichem Einsatz der (Farb-)Dopplertechnik können wir den Blutfluss direkt im Herzen, aber auch in den Gefäßen des Herzens messen.
Zahlreiche Herzfehler können so schon vorgeburtlich erkannt werden. Kinderkardiologinnen und Kinderkardiologen sowie Herzchirurginnen und Herzchirurgen können frühzeitig in die Beratung der Patientin eingebunden werden, sodass eine optimale Betreuung bei der Geburt gewährleistet ist. Eine frühe fetale Echokardiografie (spezielle Ultraschalluntersuchung des Herzens) kann im Rahmen der Erst-Trimester-Diagnostik zwischen der 12. und 14. SSW durchgeführt werden. Allerdings ist aufgrund der geringen Größe des Herzens die Zuverlässigkeit noch eingeschränkt. Wir empfehlen daher eine Kontrolle zwischen der 20. und 22. SSW.



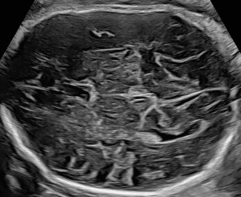
Spezielle Ultraschalluntersuchung des fetalen Gehirns
Die Untersuchung des kindlichen Gehirns stellt einen wesentlichen Baustein in der fetalen Fehlbildungsdiagnostik dar, auch bei uns in der Pränataldiagnostik und Schwangerenambulanz. Vor allem wenn es um spezielle Fragestellungen geht, wird eine noch detailliertere Untersuchung der Hirnstrukturen durchgeführt. Diese kann bei entsprechender Indikation durch eine vorgeburtliche Kernspintomographie (MRT) ergänzt werden.
Abbildungen: Normalbefund, fetales Gehirn in 3 Schnittebenen dargestellt



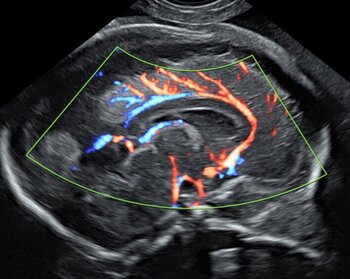
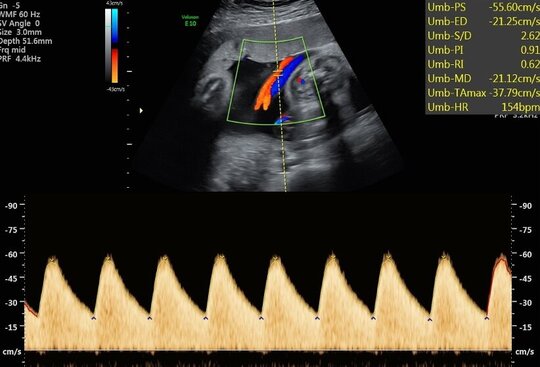
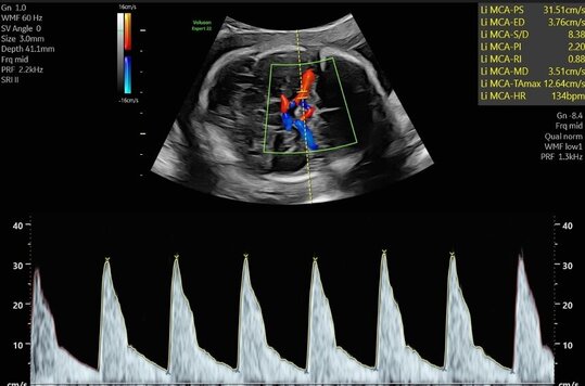
Ultraschalluntersuchung der mütterlichen und kindlichen Durchblutung (Farb-Dopplersonografie)
Die Durchblutung der Nabelschnur, der kindlichen Gefäße und des Mutterkuchens wird mittels einer speziellen Ultraschalltechnik durchgeführt. Mit der sogenannten (Farb-)Dopplersonografie können wir in der Pränataldiagnostik und Schwangerenambulanz die Versorgungslage überprüfen.
Auffällige Blutflussmuster können auf eine Mangelversorgung des Ungeborenen oder Auffälligkeiten im Kreislauf der Mutter hinweisen. Zu nennen wäre hier das erhöhte Risiko für einen schwangerschaftsbedingten Bluthochdruck. Mittels der Untersuchung können solche Probleme rechtzeitig erkannt und die Patientin entsprechend am UKS überwacht werden.

Nabelschnurarterie

Gehirndurchblutung (A. cerebri media)


3D-/4D-Ultraschall
Die 3D-Sonographie erlaubt uns in der Pränataldiagnostik und Schwangerenambulanz die dreidimensionale Darstellung von Strukturen. Bestimmte Auffälligkeiten wie eine Lippen-Kiefer-Gaumen-Spalte oder andere Fehlbildungen können den werdenden Eltern besser aufgezeigt werden. Zudem ist eine dreidimensional dargestellte intakte Struktur im Zweifelsfall auch beruhigend.
Zudem hat die vorgeburtliche 3D-Untersuchung den Vorteil, dass die sehr plastische Darstellung die Mutter-Kind-Bindung verstärkt.
Die Durchführbarkeit hängt im Wesentlichen von den zugrundeliegenden Untersuchungsbedingungen ab. So muss genügend Fruchtwasser vorhanden und die Kindslage günstig sein. Auch Schwangerschaftsalter und die mütterliche Konstitution spielen eine zentrale Rolle.
Allerdings kann der 3D-Ultraschall die konventionelle 2D-Sonografie nicht ersetzen, sondern lediglich ergänzen und sollte daher nicht isoliert eingesetzt werden. 4D-Sonografie bedeutet 3D-Ultraschall am bewegten Bild. Stellen Sie es sich als eine Art 3D-Untersuchung in live vor.

Nicht-invasive pränatale Tests (NIPT)
Mittels eines mütterlichen Bluttests kann eine vorgeburtliche Untersuchung auf wichtigste Störungen der Erbanlagen wie Trisomie 21 (Down-Syndrom), Trisomie 18, Trisomie 13, und andere erfolgen. Die Untersuchung kann ab der 11+0 SSW durchgeführt werden. Innerhalb von einer Woche erhalten Sie das Ergebnis, welches Ihnen dann im Rahmen einer genetischen Beratung mitgeteilt wird.
Beratung bei speziellen mütterlichen Erkrankungen und Mehrlings-Schwangerschaften
Manche mütterlichen Erkrankungen stehen in Zusammenhang mit der Schwangerschaft. Das gilt beispielsweise für die Präeklampsie oder einen schwangerschaftsbedingten Bluthochdruck. Viele Erkrankungen bestehen aber auch schon vor Eintritt einer Schwangerschaft. In beiden Fällen werden Sie in unserer Pränataldiagnostik und Schwangerenambulanz kompetent beraten und begleitet, falls notwendig auch von verschiedenen Fachrichtungen.
Eine besondere Bedeutung kommt auch den Mehrlings-Schwangerschaften (Zwillinge, Drillinge,…) zu. Auf diesem Gebiet verfügt unser Pränatal-Team über eine lang bestehende Expertise. Wir stehen Ihnen dabei von Anbeginn der Schwangerschaft bis zur Geburt mit Rat und Tat zur Seite.

Zwillingsschwangerschaft (dichorial) in der 3D-Darstellung)

Vierlingsschwangerschaft (4 Fruchthöhlen – tetrachorial)

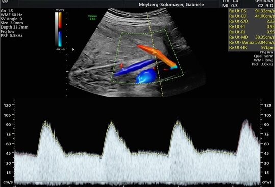
Gebärmutterdarstellung im Ultraschall von der Scheide aus
Gynäkologische Ultraschalluntersuchung
Mittels modernster Ultraschalltechnologie unter ergänzendem Einsatz der Farb-Dopplersonografie können von der Scheide aus (Transvaginal-Ultraschall) oder über die Bauchdecke (Transabdominal-Ultraschall) unter anderem die Gebärmutter und die Eierstöcke dargestellt werden. Ziel ist es, etwa Myome zu erkennen, genauer zu lokalisieren und ihr Wachstum zu beurteilen. Auch die Veränderungen der Gebärmutterschleimhaut lässt sich so erfassen oder wir kontrollieren den Sitz einer Spirale. Ferner sind wir in der Pränataldiagnostik und Schwangerenambulanz mit der fortschrittlichen Technologie in der Lage, möglicherweise gutartige oder bösartige Veränderungen der Eierstöcke frühzeitig zu erkennen und entsprechende Maßnahmen einzuleiten. Diese Untersuchung bietet auch eine wichtige Entscheidungshilfe für oder gegen eine Operation.
Invasive vorgeburtliche Untersuchungen
Fruchtwasseruntersuchung (Amniozentese)
Unter kontinuierlicher Ultraschallsicht wird über die mütterliche Bauchdecke eine dünne Nadel in die Fruchthöhle eingeführt. Es werden circa 15 ml Fruchtwasser entnommen. Der Eingriff kann ab der 15. SSW in der Pränataldiagnostik und Schwangerenambulanz durchgeführt werden. Der ideale Untersuchungszeitpunkt liegt allerdings in der 16. und 17. SSW.
Die Untersuchung ist nicht oder nur wenig schmerzhaft. Eine örtliche Betäubung ist nicht erforderlich. Der gesamte Eingriff dauert nur wenige Minuten und wird ambulant durchgeführt. Nach einer kurzen Ruhephase können Sie unsere Pränataldiagnostik und Schwangerenambulanz schon wieder verlassen. Schonen Sie sich allerdings körperlich noch die nächsten zwei bis drei Tage. Das Fehlgeburtsrisiko ist gering und liegt etwa bei 0,3 bis 0,5 Prozent.
Wir empfehlen eine Kontrolluntersuchung bei Ihrer Frauenärztin oder Ihrem Frauenarzt ein bis zwei Tage nach dem Eingriff. Bei Rhesus-negativen Müttern wird im Anschluss ein Medikament (Rhesogam) gespritzt, um Blutgruppenunverträglichkeiten zwischen Mutter und Kind zu vermeiden. Das Ergebnis der Untersuchung liegt nach circa zwei Wochen vor.
Zudem führen wir am UKS einen routinemäßigen Schnelltest durch, der nach zwei bis drei Tagen ein Ergebnis über einige der wichtigsten Chromosomenstörungen liefert. Der Eingriff wird durchgeführt, wenn die Patientin den verbindlichen Ausschluss einer Störung der Erbanlagen wünscht.
Punktion des Mutterkuchens (Chorionzottenbiopsie)
Die Chorionzottenbiopsie kann bereits zu einem frühen Zeitpunkt der Schwangerschaft, ab der 12. SSW durchgeführt werden. Unter ständiger Ultraschallsicht wird eine Nadel über die mütterlichen Bauchdecken in den Mutterkuchen vorgeschoben. Über die Nadel werden Zellen des Mutterkuchens entnommen. Auch hier müssen Sie keine Schmerzen befürchten und können nach einer kurzen Ruhephase nach Hause gehen. Gönnen Sie Ihrem Körper ein paar Tage Erholung. Das Fehlgeburtsrisiko liegt aufgrund des früheren Untersuchungszeitpunkts geringfügig höher als bei der Fruchtwasserpunktion. Stellen Sie sich ein bis zwei Tage danach ebenso bei Ihrer Frauenärztin oder Ihrem Frauenarzt vor. Auch hier wird bei Rhesus-negativen Müttern ein Medikament (Rhesogam, s.o.) verabreicht.
Ein bis zwei Tage später liegt ein vorläufiges Ergebnis über die grobe Struktur und Zahl der Chromosomen vor. Das abschließende Ergebnis liegt nach etwa zwei Wochen vor.
Nabelschnurpunktion (Fetalblutanalyse)
Bei der Nabelschnurpunktion wird eine geringe Menge kindlichen Blutes entnommen. Sie erlaubt eine schnelle Bestimmung von Störungen der Erbanlagen. Sie wird aber auch unter anderem zum Ausschluss einer kindlichen Blutarmut eingesetzt, die bei Blutgruppenunverträglichkeit zwischen Mutter und Kind oder Infektionen auftreten kann. Die Untersuchung ist ab 16+ SSW möglich. Unter kontinuierlicher Ultraschallsicht wird über die mütterliche Bauchdecke eine dünne Nadel zunächst in die Fruchthöhle und dann in die Nabelschnur eingeführt. Von dort werden circa 2 ml Blut entnommen.
Das Eingriffsrisiko ist etwas höher als bei der Chorionzottenbiopsie. Das Ergebnis der Chromosomenanalyse liegt bereits nach ca. zwei Tagen vor. Eine kindliche Blutarmut kann sofort erkannt werden. In diesem Falle ist eine direkte Behandlung des Kindes in der Pränataldiagnostik und Schwangerenambulanz möglich, indem ihm Blut über die Nabelvene (Nabelschnurtransfusion) gegeben wird.
Nabelschnurtransfusion
Eine kindliche Blutarmut kann durch eine Blutgruppenunverträglichkeiten zwischen Mutter und Kind sowie eine Infektion hervorgerufen werden. Falls ein solches Problem bei Ihrem Kind mittels Nabelschnurpunktion festgestellt wird, kann ebenso in der Pränataldiagnostik und Schwangerenambulanz eine direkte Behandlung mittels Nabelschnurtransfusion erfolgen.
Fetalpunktion / Fetale Therapie
In einigen Fällen kann es notwendig sein, den Fetus selbst zu punktieren, zu diagnostischen oder zu therapeutischen Zwecken. So kann die kindliche Harnblase bei Verdacht auf eine Fehlbildung im Urogenitalsystem punktiert werden, oder auch der Pleuraspalt (Raum, der die Lunge umgibt) bei einigen Fällen von Wasseransammlung in der Lunge. In einigen Fällen kann auch die Einlage eines kleinen Schlauchs sinnvoll sein, um einen kontinuierlichen Ablauf von solchen Wasseransammlungen zu gewährleisten. Ziel ist es dann, die möglichst normale Entwicklung des Kindes zu erreichen. Ein solcher Eingriff erfolgt unter Gabe von Schmerz- und Beruhigungsmitteln für Mutter und Kind.
In einigen Fällen besteht beim Kind eine Blutarmut, die über die kindliche Nabelschnur ausgeglichen werden kann (Nabelschnurtransfusion).
Einige Kinder können manchmal Herzrhythmus-Störungen (Arrhythmien) aufweisen, die therapiert werden müssen. Nur so lässt sich eine Beeinträchtigung des Kindes vermeiden. Das geht manchmal damit einher, dass wir das Kind im Mutterleib entweder über die Mutter oder direkt mit Medikamenten behandeln müssen.
In manchen Schwangerschaften kommt es vor, dass das Kind über viel zu wenig Fruchtwasser verfügt. In seltenen Fällen kann dann aus diagnostischen Gründen eine Fruchtwasserauffüllung in der Pränataldiagnostik und Schwangerenambulanz durchgeführt werden. Je nach Ursache gibt es einige seltene Fälle, bei denen eine Fruchtwasserauffüllung auch aus therapeutischen Gründen durchgeführt wird. Falls ein solches Problem bei Ihnen vorliegt, beraten wir Sie gerne, was für Sie infrage kommt.


Termine
In der Schwangerschaft ist es von entscheidender Bedeutung, zu welchem Zeitpunkt die jeweiligen Untersuchungen durchgeführt werden. Im Folgenden finden Sie daher einen Überblick über die optimalen Untersuchungszeitpunkte.
Nackentransparenzmessung
11+0 bis 13+6 SSW (Scheitel-Steiß-Länge 45 - 84mm)
Ultraschall-Feindiagnostik
idealerweise 20. bis 22. SSW, gegebenenfalls früher oder später
Fetale Echokardiographie
idealerweise 20. bis 22. SSW, gegebenenfalls früher oder später
Fetale Dopplersonographie
meist ab der 24. SSW, ggfls. früher
Amniozentese
ab der 15. SSW (idealerweise 16. SSW)
Chorionzottenbiopsie
ab 11+0 SSW
Nabelschnurpunktion/-transfusion
ab circa 17. SSW
Fetalpunktion / Shunt-Einlage
in Abhängigkeit vom Befund individuell
