Experimentelle Forschung
Die experimentelle Forschung ist ein wichtiger Bestandteil der Klinik für Unfall-, Hand- und Wiederherstellungschirurgie und teilt sich vorrangig in die Arbeitsgruppe Frakturheilung und in die Molekular und Zellbiologische Forschung.
Hauptfokus der Arbeitsgruppe Frakturheilung der Klinik für Unfall-, Hand- und Wiederherstellungschirurgie und des Instituts für Klinisch-Experimentelle Chirurgie ist die Analyse der pathophysiologischen Grundlagen der Frakturheilungsprozesse und die Entwicklung verschiedener Therapieansätze zur Verbesserung der gestörten Frakturheilung. Primär wurden verschiedene Fraktur- und Knochendefektmodelle an der Maus entwickelt sowie erstmals biomechanische Parameter verschiedener Osteosynthesetechniken für die Maus analysiert und quantifiziert, so dass nun standardisierte Untersuchungen am Mausmodell durchgeführt werden können.
Zur Analyse der Frakturheilung wurden zahlreiche Untersuchungsmethoden etabliert, welche in aktuell laufenden Studien standardmäßig durchgeführt werden. Am Institut für Klinisch-Experimentelle Chirurgie steht ein voll ausgestattetes Labor für biomechanische, histologische, immunhistologische, proteinbiochemische sowie radiologische Untersuchungen zur Verfügung. Mittlerweile konnte neben einem in-vitro micro-CT und einem Kleintier-MRT durch ein DFG-gefördertes Projekt ein in-vivo micro-CT angeschafft werden. Dieses Gerät erlaubt wiederholte Untersuchungen am lebenden Tier und verspricht damit tiefere Einblicke in die dynamischen Prozesse der Frakturheilung (siehe unten).
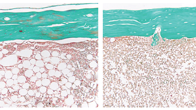
Aufgrund der steigenden Altersstruktur und veränderten Lebensweise der westlichen Bevölkerung mit mangelnder Bewegung und kalorienreicher Ernährung ist ein drastischer Anstieg der sogenannten „Volkskrankheiten“ zu verzeichnen. Vor allem das Alter ist nicht nur mit einem deutlichen Knochenverlust (Osteoporose) und einem erhöhten Frakturrisiko verbunden, sondern beeinträchtigt auch die Phasen der Knochenheilung, so dass die Regenerationsfähigkeit deutlich abnimmt. Die Folge ist eine verzögerte oder gar ausbleibende Heilung. Damit verbunden sind vielfache operative Eingriffe am Knochen mit einer langen Hospitalisierung der Patienten. Ein Schwerpunkt unserer Arbeitsgruppe ist deshalb die Untersuchung der Frakturheilung im Alter sowie die Untersuchung des Frakturheilungsprozesses bei Stoffwechselerkrankungen. Interessanterweise konnten Studien bei adipösen Mäusen zeigen, dass trotz deutlich erhöhtem Fettanteil im Knochen (siehe unten) bei signifikant erhöhten Konzentrationen von Leptin im Blut weder in der biomechanischen Testung noch in den histologischen Untersuchungen signifikante Unterschiede in der Knochenheilung nachzuweisen sind. In Western Blot-Untersuchungen zeigte sich jedoch eine verminderte Expression von osteogenen Wachstumsfaktoren. Des Weiteren war das antioxidative Potential im Frakturkallus der adipösen Mäuse deutlich erniedrigt.


Die Arbeitsgruppen des Molekular- und Zellbiologischen Forschungslabors der Klinik bearbeiten unter der Gesamtleitung von Hr. Dipl.-Biol. Dr. rer. nat. Martin Oberringer unterschiedliche Fragen, die sich vor dem Hintergrund der physiologischen und pathologischen Regeneration des Menschen stellen.
Im Schwerpunktthema Wundheilung werden neben Zellkulturtechniken vor allem immunchemische Techniken und die Methode der Fluoreszenz-in-situ-Hybridisierung angewendet, die insbesondere durch Frau MTA Martina Jennewein, unterstützt durch wissenschaftliche Hilfskräfte und Doktoranden der Medizin, durchgeführt werden. Neben diesen Arbeiten im Hauptlabor in Geb. 43 werden in Geb. 56 von Frau MTA Monika Bubel die Techniken des ELISA und der Durchflusszytometrie betreut.
Innerhalb eines weiteren Schwerpunktthemas befasst sich ein Teil der Arbeitsgruppe unter Leitung von Hr. Dipl.-Biol. Dr. rer. nat. Wolfgang Metzger, unterstützt durch Frau MTA Daniela Sossong, mit Aspekten der Knochenregeneration und der Interaktion von Zellen mit neuartigen nano- und mikrostrukturierten Materialien. Dabei kommen in der Laboreinheit im Forschungs- und Laborgebäude der Unikliniken Geb. 61.4, die 2008 bezogen wurde, neben Zellkulturtechniken vor allem Methoden zur Oberflächenfunktionalisierung verschiedener Träger- und Kultivierungssysteme zur Anwendung.
Durch die weite inhaltliche und methodische Spreitung der experimentellen Ansätze gelingt es, Bereiche abzudecken, die einerseits zentral für die Analytik von Heilungsstörungen der Weichteil- und Knochenheilung sind und mit denen andererseits neue therapeutische Ansätze -in Kombination mit Methoden des Tissue Engineering- entwickelt und überprüft werden können.
Die ausführliche Darstellung aller Forschungsschwerpunkte, Arbeitsgruppen und Projekte finden unter folgenden Links:
Kontakte Molekular- und Zellbiologisches Forschungslabor

Prof. (apl.) Dr. rer. nat. Martin Oberringer



