Wirbelsäulenerkrankungen
Unserer Klinik wird das gesamte Spektrum der Wirbelsäulenchirurgie -mit Ausnahme von komplexen Operationen bei Skoliose- durchgeführt. Im Folgenden soll kurz auf die typischen Krankheitsbilder und ihre Therapie eingegangen werden.
Unsere Expertise
- Gesamtes Spektrum der Wirbelsäulenchirurgie bis auf aufwändige Skoliose-OPs
- Möglichkeit der endoskopischen Technik mit dem EasyGO®-System
Ärztliche Ansprechpartner
Wirbelsäulenerkrankungen
MVZ-Sprechstunde
Mo 10:00-13:00 Uhr
Do 14:00-16:00 Uhr
Anmeldung HSA-Sprechstunde
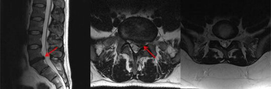
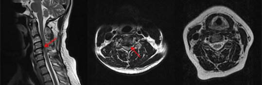
Bandscheibenvorfälle
Bei einem Bandscheibenvorfall kommt es zu einem Austritt von Bandscheibenanteilen in den Wirbelkanal und kann an der Hals-, Brust- und Lendenwirbelsäule entstehen. Dieser ausgetretene Bandscheibenanteil kann starke Schmerzen verursachen und auch z. B. zu Lähmungen, Gefühlsstörungen oder einer gestörten Blasen- und Darmentleerung führen. Eine operative Therapie kann indiziert sein, wenn durch eine konservative Therapie mit Schmerzmitteln und Physiotherapie langfristig keine Besserung erzielt werden kann oder in Fällen von Lähmungen oder gestörter Blasen- oder Darmentleerung (Inkontinenz). Die Operationsmethode richtet sich nach der Lokalisation und Ausprägung des Bandscheibenvorfalls. Im Bereich der Halswirbelsäule wird die Operation z. B. in den meisten Fällen von vorne und im Bereich der Lendenwirbelsäule meistens von hinten durchgeführt. Sollte zusätzlich eine mechanische Instabilität vorliegen, ist ggf. zusätzlich eine Stabilisierung durch Schrauben, Platten etc. erforderlich (s.u.).


Spinalkanalstenose
Als Spinalkanalverengung bezeichnet man eine Verengung des Wirbelkanals aufgrund von Verschleißerscheinungen (Degenerationen). Sie tritt daher v.a. in höherem Alter auf. Durch die verschleißbedingten biomechanischen Veränderungen in den Segmenten der Wirbelsäule kommt es kompensatorisch z. B. zu Knochenanbauten und Verdickungen der Bandstrukturen. Diese Veränderungen führen in der Summe dann zu einer Verengung des Spinalkanals, in dem im Bereich der Hals- bis oberen Lendenwirbelsäule das Rückenmark und im Bereich ab der oberen Lendenwirbelsäule die Nervenwurzeln verlaufen. Werden diese Strukturen ebenfalls eingeengt, kommt es zu den typischen Symptomen. Beispielsweise klagen die Patienten bei Stenosen im Bereich der Halswirbelsäule über Gangunsicherheit, Schmerzen in Schulter und Armen, Feinmotorikstörungen der Hände, Sensibilitätsstörungen, Zunahme des Muskeltonus von Armen und Beinen. Im Endstadium kann sogar eine Querschnittssymptomatik auftreten.
Bei Stenosen im Bereich der Lendenwirbelsäule kann es zu belastungsabhängigen Schmerzen im Rücken und den Beinen kommen. Die Patienten können nur noch eine limitierte Strecke schmerzfrei gehen und müssen regelmäßige Pausen beim Gehen machen („Schaufensterkrankheit“). Ein Vornüberbeugen kann ebenfalls eine Besserung bringen. Unbehandelt kann es dann im Verlauf auch zu Lähmungen, Taubheitsgefühlen oder unkontrollierten Urin- und Stuhlabgang (Inkontinenz) kommen.
Konservative Therapiemethoden führen in der Regel nicht zum gewünschten Erfolg, sodass die Therapie der Wahl in der operativen Beseitigung dieser Engstellen besteht (z. B. durch Abfräsen von knöchernen Anbauten). Auch hier richtet sich die Operationsmethode nach der Lokalisation und Ausprägung der Stenose. Im Bereich der Halswirbelsäule wird die Operation z. B. in den meisten Fällen von vorne und im Bereich der Lendenwirbelsäule meistens von hinten durchgeführt. Sollte zusätzlich eine mechanische Instabilität vorliegen, ist ggf. zusätzlich eine Stabilisierung durch Schrauben, Platten etc. erforderlich (s. u.).

Stabilisierungen bei degenerativen Erkrankungen
Entsteht bei einer fortschreitenden Abnutzung der Bandscheibe oder anderen Verschleißerscheinungen eine zunehmende Lockerung zwischen zwei Wirbeln (degenerative Instabilität), kann sich diese Veränderung der Statik und Mechanik in einer schweren Rückenschmerzsymptomatik bemerkbar machen. Bei Diagnose einer degenerativen Instabilität ist häufig eine operative Stabilisierung erforderlich. Bei einer stabilisierenden Operation werden dann je nach Lokalisation und Ausprägung des Befundes verschiedene Materialien wie Schrauben, Platten oder Wirbelkörperprothesen eingebracht.

OPS bei Traumata, Entzündungen oder Tumoren der Wirbelsäule
Kommt es im Bereich der Wirbelsäule zu einem Trauma mit Fraktur (Knochenbruch), einer Entzündung der Wirbelkörper und Bandscheiben (Spondylodiszitis) oder einem Tumor mit Beteiligung der Knochenstrukturen, können aufwändige Operationen erforderlich werden. Ein Ziel dabei ist, dem Rückenmark oder den Nervenwurzeln den auf sie ausgeübten Druck zu nehmen. Dadurch sollen schwere neurologische Ausfälle bis hin zum Querschnitt oder zumindest eine Verschlechterung bereits bestehender Symptome vermieden werden. Zum anderen muss beim Vorliegen einer mechanischen Instabilität die Stabilität wieder hergestellt werden. Auch in diesen Fällen werden hierfür je nach Lokalisation und Befund Materialien wie Schrauben, Platten oder Wirbelkörperprothesen eingesetzt.


Tumoren des Rückenmarks und des Spinalkanals
Auch innerhalb des Spinalkanals können verschiedene Tumore auftreten. Diese können entweder außerhalb des Rückenmarks, wie z. B. Meningeome oder Neurinome, oder innerhalb des Rückenmarks lokalisiert sein, wie z. Beispiel Ependymome oder Astrozytome. Je nach Lokalisation und Größe können sie verschiedene Symptome verursachen. In einigen Fällen werden sie jedoch auch zufällig entdeckt. Die Therapie besteht in der Regel in einer operativen Entfernung, um das Neuauftreten oder Fortschreiten von neurologischen Ausfällen zu verhindern und Gewebe zur histologischen Untersuchung zu gewinnen. Je nach Tumorart kann sich postoperativ eine Nachbehandlung durch Bestrahlung und/oder Chemotherapie anschließen.

Endoskopische OP-Technik
Auf dem Gebiet der Medizintechnik engagiert sich die Homburger Klinik für Neurochirurgie in der Entwicklung neuer, endoskopischer Verfahren.
Zusammen mit der Firma Karl Storz, Tuttlingen, wurde daher speziell für die minimalinvasive Wirbelsäulenchirurgie ein endoskopisches System (Easy-GO!®, mittlerweile auch schon in 2. Generation erhältlich) entwickelt, mit dem es möglich ist, Bandscheibenvorfälle und Spinalkanalstenosen zu operieren.
Der Hautschnitt hat hierbei eine Länge von etwa 1,4-1-8 cm. Über ein Dilatationssystem gelingt es die dorsale Muskulatur der zervikalen und lumbalen Wirbelsäule schonend abzuschieben, um denselben Zugangsweg zu nutzen, der auch bei der mikrochirurgischen Standardtechnik gewählt wird.
Die Vorteile für den Patienten:
- geringere postoperative Schmerzen
- kürzere Krankenhausaufenthalte
- reduzierte Einnahme von Schmerzmedikamenten
- kleinere Operationsnarbe

