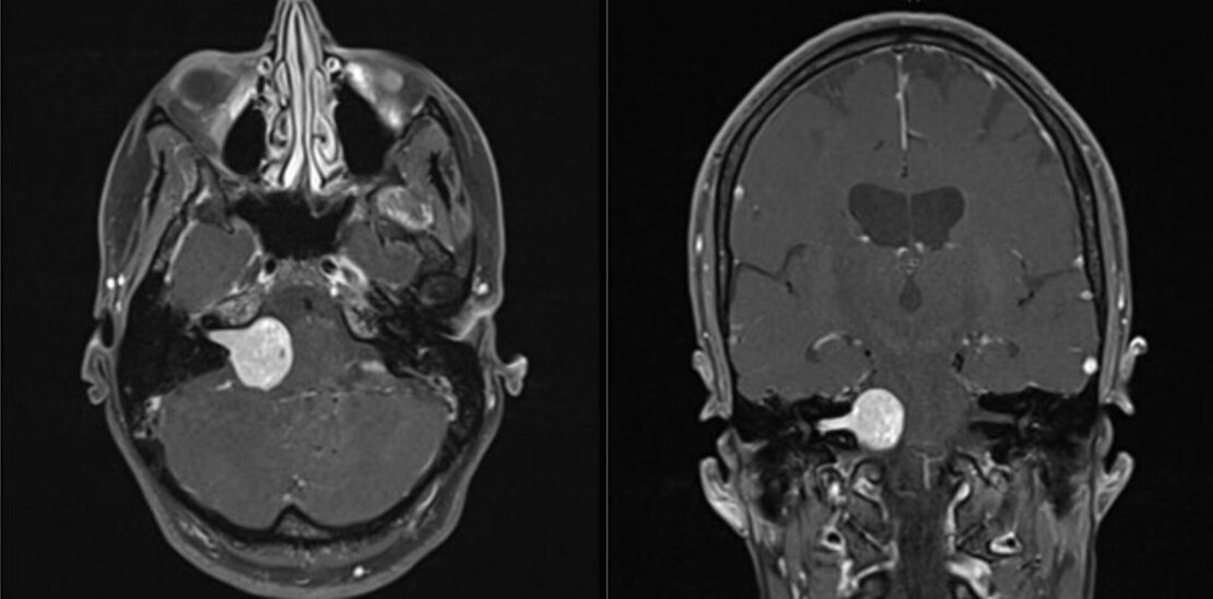
Vestibularisschwannome (Akustikusneurinome)
Diese gutartigen Tumore bilden sich aus den Hüllzellen des für das Gleichgewicht zuständigen Teils des VIII. Hirnnerven (Nervus vestibulocochlearis). Da dieser Nerv auch für die Übertragung der Impulse des Hörorgans sorgt, ist eine Hörstörung der betroffenen Seite oftmals Erstsymptom und darf insbesondere nicht mit einem Hörsturz verwechselt werden. Bei weiterem Wachstum kommt es dann - wie oben beschrieben - zu Gleichgewichts- und Gangstörungen.
Es gibt drei potenzielle Behandlungsmethoden:
1) Die operative Entfernung des Tumors, die in einem hohen Prozentsatz zur Heilung führt
2) Die gezielte Bestrahlung des Tumors (Radiochirurgie)
3) Beobachtendes Zuwarten bei bekannt langsamem Tumorwachstum, dies vor allem bei betagten oder Risikopatienten.
Die Entscheidung kann letztlich nur im intensiven Gespräch mit dem Patienten fallen. Der operativen Therapie ist aber nach jetzigem Wissensstand insbesondere bei jungen, ansonsten gesunden Patienten mit beobachtetem Tumorwachstum oder aber neurologischen Ausfällen wie Hörstörung, Gleichgewichtsstörung, Gangstörung etc. der Vorzug zu geben. Außerdem besteht insbesondere bei kleinen Tumoren eine gute Chance, den Tumor unter Erhalt des Hörvermögens des betroffenen Ohres zu entfernen. Insgesamt ist das Risiko eines dauerhaften Hörverlustes ca. 5 %.
