Tumore der hinteren Schädelgrube
Die hintere Schädelgrube ist eine Region der Schädelbasis. Tumore, die in dieser Region entstehen, sind von besonderer Bedeutung, weil in diesem Bereich wichtige Strukturen liegen. Hier befinden sich der Hirnstamm, das Kleinhirn und zehn von zwölf Hirnnerven. Dieser Raum ist eng begrenzt, so dass Tumore hier rasch zu erheblichen Funktionsstörungen führen können. Neurochirurgisches Operieren in der hinteren Schädelgrube erfordert die exakte Kenntnis der sehr komplexen Neuroanatomie. Verschiedene Tumorarten - gut oder bösartig - treten in dieser Region auf. Kleinhirntumore treten bei Kindern deutlich häufiger auf als Tumore der Großhirnregion. Bei Erwachsenen machen sie dagegen nur etwa 20 % der Tumorerkrankungen des Gehirns aus.

Symptome
Die primären Symptome sind natürlich abhängig von der genauen Lage des Tumors, von seiner Wachstumsgeschwindigkeit und von der Reaktion des umliegenden Hirngewebes. Zudem kann das Wachstum der Tumoren in der hinteren Schädelgrube die Hirnwasserzirkulation (Liquorzirkulation) hemmen, was zu einem Hydrocephalus (Wasserkopf) mit Erhöhung des Hirndrucks führen kann. Oftmals äußern sich diese Tumore anfänglich in Übelkeit und Erbrechen, später gefolgt von Gleichgewichts- und Gangstörungen, aber auch Kopfschmerzen, Doppelbilder, Schwindel, Hörminderung, Taubheitsgefühle im Gesicht u.v.m. werden von den Patienten berichtet.

Diagnostik
Für eine präzise Diagnose sind die neurologische Untersuchung und die Bildgebung (z. B. Kernspintomographie) wichtig. Diese Bilder können auch während der Operation zur Neuronavigation benutzt werden, um den Tumor und umliegende Hirnstrukturen genau lokalisieren zu können. Je nach genauer Lokalisation können auch weitere Untersuchungen nötig werden, wie z. B. audiometrische Untersuchungen bei Tumoren, die in der Nähe des Hörnervs (Nervus vestibulocochlearis) lokalisiert sind.

Therapie
Die Behandlung ist in der Regel zunächst chirurgisch, d. h. es wird die möglichst vollständige operative Entfernung des Tumors angestrebt. Dies gelingt bei Tumoren, die in lebenswichtige Strukturen einwachsen, nicht immer radikal. In der modernen Schädelbasis-Chirurgie gewinnt das Endoskop zunehmend an Bedeutung und wird immer häufiger für verschiedene Erkrankungen eingesetzt. Neue Endoskop-Generationen ermöglichen dem Neurochirurgen, diese Instrumente und ihre exzellente Lichtqualität und optische Auflösung während mikrochirurgischer Operationen zu nutzen. Die Kombination dieser Vorteile wird als „endoskopisch-assistierte Mikrochirurgie“ bezeichnet.
Einige wichtige Vorteile der Neuroendoskopie sind:
- Eine bessere Beleuchtung des OP Feldes
- „Weitwinkelsicht“ und die Möglichkeit „um die Ecke zu schauen“
- Niedrigere Invasivität mittels Reduktion der Notwendigkeit von Retraktion von wichtigen angrenzenden Strukturen.
Je nach Tumorart kann eine anschließende Nachbehandlung durch Bestrahlung oder ggf. Chemotherapie erforderlich sein. Die Prognose ist abhängig von der Tumorart bzw. bei Metastasen auch von der Prognose der Grunderkrankung.

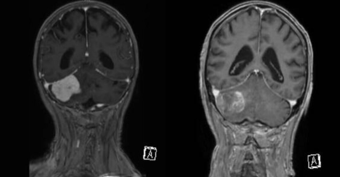
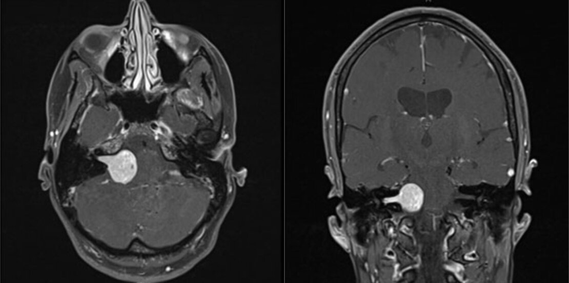
Vestibularisschwannome (Akustikusneurinome)
Diese gutartigen Tumore bilden sich aus den Hüllzellen des für das Gleichgewicht zuständigen Teils des VIII. Hirnnerven (Nervus vestibulocochlearis). Da dieser Nerv auch für die Übertragung der Impulse des Hörorgans sorgt, ist eine Hörstörung der betroffenen Seite oftmals Erstsymptom und darf insbesondere nicht mit einem Hörsturz verwechselt werden. Bei weiterem Wachstum kommt es dann - wie oben beschrieben - zu Gleichgewichts- und Gangstörungen.
Es gibt drei potenzielle Behandlungsmethoden:
- Die operative Entfernung des Tumors, die in einem hohen Prozentsatz zur Heilung führt
- Die gezielte Bestrahlung des Tumors (Radiochirurgie)
- Beobachtendes Zuwarten bei bekannt langsamem Tumorwachstum, dies vor allem bei betagten oder Risikopatienten.
Die Entscheidung kann letztlich nur im intensiven Gespräch mit dem Patienten fallen. Der operativen Therapie ist aber nach jetzigem Wissensstand insbesondere bei jungen, ansonsten gesunden Patienten mit beobachtetem Tumorwachstum oder aber neurologischen Ausfällen wie Hörstörung, Gleichgewichtsstörung, Gangstörung etc. der Vorzug zu geben. Außerdem besteht insbesondere bei kleinen Tumoren eine gute Chance, den Tumor unter Erhalt des Hörvermögens des betroffenen Ohres zu entfernen. Insgesamt ist das Risiko eines dauerhaften Hörverlustes ca. 5 %.

Kindliche Hirntumore
Das Spektrum der Tumorerkrankungen und deren Häufigkeitsverteilung unterscheiden sich im Kindesalter deutlich von denen Erwachsener. Somit machen Tumoren des Zentralen Nervensystems (ZNS) den größten Anteil an soliden Tumoren bei Kindern aus und stellen insgesamt mit einem Anteil von ca. 25 % nach den Leukämien die zweithäufigste Krebserkrankung dar. Auch die Lokalisation der Tumoren und deren Entität weist Unterschiede zu denen Erwachsener auf. Kindliche Hirntumoren sind häufig im Kleinhirn- und Hirnstammbereich (infratentoriell) lokalisiert, während bei Erwachsenen die Hirntumoren meist im Bereich des Großhirns (supratentoriell) entstehen. Die häufigsten intrakraniellen Tumorarten bei pädiatrischen Patienten sind Astrozytome, primitive neuroektodermale Tumoren (PNET inklusive Medulloblastom) und Ependymome, aber auch andere Tumoren wie z. B. Kraniopharyngeome und Plexuspapillome werden in dieser Altersgruppe beobachtet.
Beispiele
Pilozytisches Astrozytom
Pilozytische Astrozytome sind insgesamt die häufigsten Hirntumore im Kindesalter. Diese hirneigenen Tumoren kommen nahezu ausschließlich bei Kindern und jungen Erwachsenen vor. Sie können sowohl im Klein- als auch im Großhirn entstehen. Dank ihrer gutartigen Natur besteht hier die Möglichkeit, eine Heilung durch komplette chirurgische Resektion zu erzielen. Eine Nachbehandlung ist dann auch nicht erforderlich. Sollte die Tumorentfernung nur inkomplett möglich sein, wird bei erneutem Tumorwachstum neben der erneuten Resektion auch eine Bestrahlung oder Chemotherapie diskutiert.
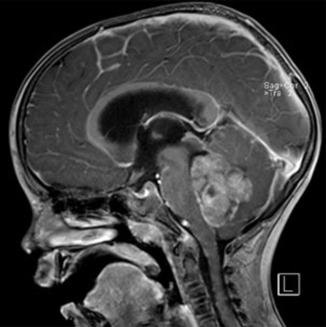
Medulloblastom
Das Medulloblastom ist der häufigste bösartige ZNS-Tumor bei Kindern. Typischerweise entwickelt er sich in der hinteren Schädelgrube – meist im IV. Ventrikel – und wächst sowohl schnell als auch infiltrierend gegen das Kleinhirngewebe. Sogenannte Abtropfmetastasen entlang der Hirnwasserwege (Liquorräume) sind möglich. Die Behandlung besteht in der möglichst kompletten chirurgischen Entfernung, gefolgt von einer adjuvanten Therapie bestehend aus Chemotherapie und bei Kindern ab ca. 4 Jahren zusätzlich Strahlentherapie. Die Behandlungsergebnisse zeigen in den letzten Jahren eine deutliche Verbesserung. Durch die beschriebene Kombinationstherapie werden heute 5-Jahresüberlebenswahrscheinlichkeiten von 70-80 % erreicht.
Ependymome
Diese Tumorentität ist bei Kindern vor allem im IV. Ventrikel in der hinteren Schädelgrube lokalisiert. Weitere Lokalisationen können die Seitenventrikel, der III. Ventrikel oder innerhalb des Rückenmarkskanals (intraspinal) sein. Ein zweiter Häufigkeitsgipfel ist bei Erwachsenen zwischen dem 30. und 40. Lebensjahr zu beobachten. Bei diesen Patienten findet man meist intraspinale Ependymome. Ependymome können gutartiger aber auch bösartiger Natur sein. Die Therapie richtet sich nach der Lokalisation und Dignität des Tumors. Ziel ist aber in der Regel eine komplette chirurgische Resektion. Sollte diese gelingen, ist bei den gutartigen Formen meist keine weitere Therapie nötig. Ist nur eine unvollständige Resektion möglich und/oder handelt es sich um bösartige Formen, sollte eine Nachbehandlung durch Bestrahlung und ggf. Chemotherapie erfolgen.
