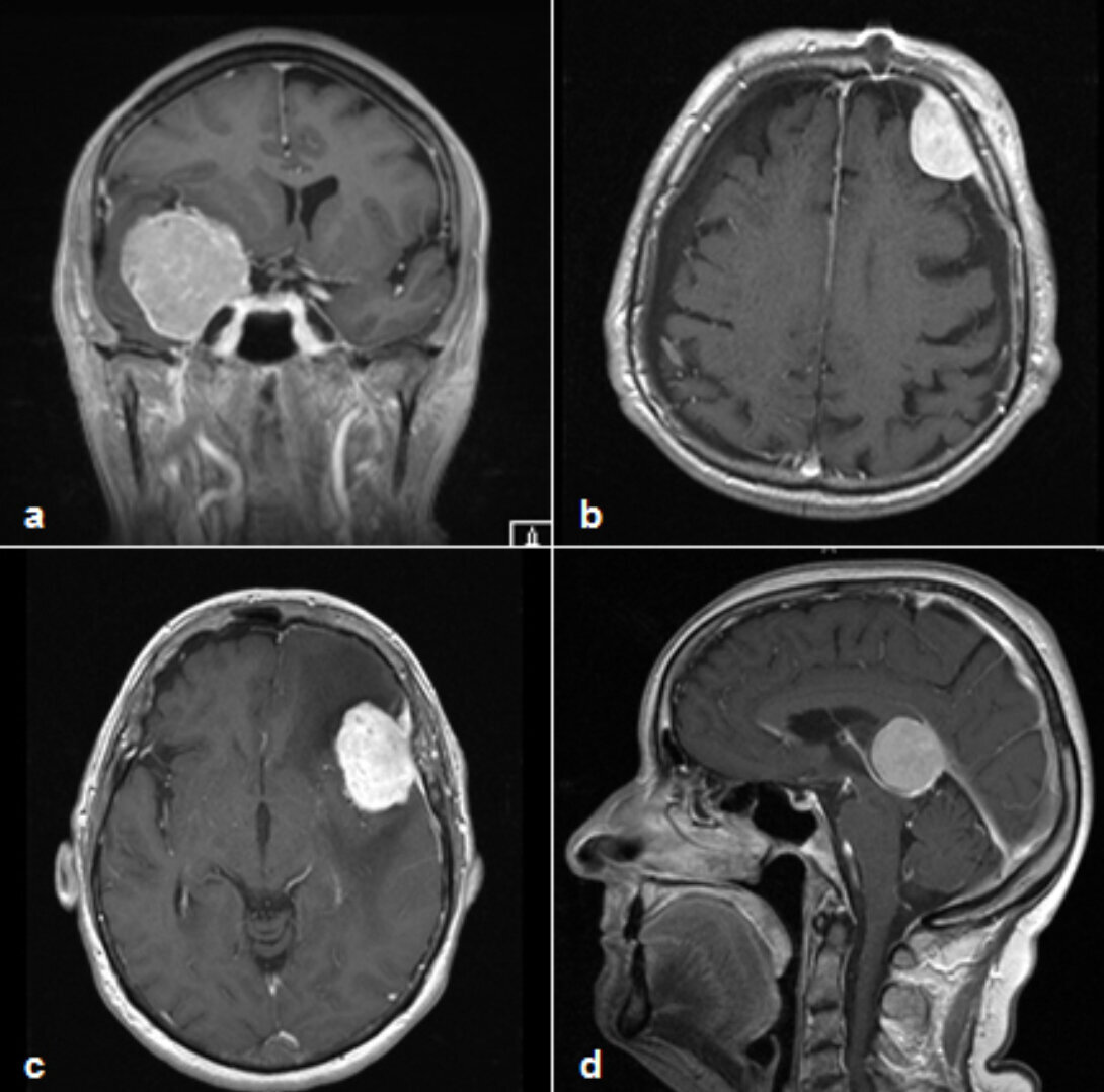
Meningeome
Meningeome entwickeln sich aus den Zellen der Spinngewebshaut (Arachnoidea) und sind somit im eigentlichen Sinn keine Hirntumore. Sie wachsen meist sehr langsam und verdrängen dabei das eigentliche Hirngewebe. Diese Tumore können auch im Rückenmarkskanal (Spinalkanal) oder in der Augenhöhle (Orbita) auftreten. Insbesondere in funktionell weniger bedeutsamen Bereichen des Gehirns können diese Tumore oft stattliche Größen erreichen. Im Gegensatz dazu können in kritischen Regionen schon kleine Tumore Beschwerden verursachen. An der Gesamtzahl von Hirntumoren machen Meningeome bei Männern ca. 15 %, bei Frauen ca. 30 % der Erkrankungen aus und treten am häufigsten zwischen dem 50. und 60. Lebensjahr auf. Frauen sind insgesamt etwas häufiger und in einem höheren Alter von dieser Tumorentität betroffen. Typische Lokalisationen sind die Falx (mittelliniennah), die Konvexität, der Keilbeinflügel, die Olfaktoriusrinne oder der Kleinhirnbrückenwinkel.

Klassifikation
Nach der WHO werden Meningeome in drei Grade klassifiziert, welche sich vor allem nach dem Wachstumsverhalten und der Wahrscheinlichkeit für ein erneutes Wachstum - auch nach vollständiger Entfernung - richtet.
WHO Grad I (ca. 85%): langsam wachsend, gutartig, Rezidiv nach vollständiger Resektion unwahrscheinlich
WHO Grad II (ca. 8-10%): atypisch, zu Rezidiven neigend Meningiome
WHO Grad III (ca. 2-5%): anaplastisch, schnell wachsende Meningeome mit eindeutigen Zeichen für Malignität (Bösartigkeit)
Die Symptome hängen wesentlich von der Lokalisation der Tumoren ab und auf welche Teile des Gehirns durch sie Druck ausgeübt wird. Es können Hirndruckzeichen (z. B. Kopfschmerzen, Müdigkeit, Übelkeit, Schwindel), neurologische Ausfälle (z.B. Lähmungen, Sehstörungen, Gehstörungen, Sprachstörungen) oder epileptische Anfälle auftreten. In vielen Fällen jedoch kann ein Meningeom auch keine Beschwerden verursachen und wird zufällig entdeckt.
Die Diagnostik erfolgt durch CT- und MRT-Bildgebungen. Diese Bilder können auch während der Operation zur Neuronavigation genutzt werden, um den Tumor und umliegende Hirnstrukturen genau lokalisieren zu können. Je nach Befund können auch noch anderer Untersuchungen, wie z.B. eine Angiographie (Gefäßdarstellung), erforderlich sein.
Die Therapie der Wahl besteht in der vollständigen operativen Resektion des Meningeoms. Diese erfolgt in mikrochirurgischer Technik und in der Regel mit Hilfe der Neuronavigation und verschiedener Techniken des intraoperativen Monitorings. Bei besonders gefäßreichen Tumoren kann in bestimmten Fällen eine Embolisation (Verschluss) der Tumorgefäße vor der Operation notwendig sein, um intraoperative starke Blutungen zu vermeiden. Eine anschließende Strahlentherapie ist bei anaplastischen Meningeomen empfohlen und kann bei nicht vollständiger Resektion atypischer Meningeome diskutiert werden.