Liquorzirkulationsstörungen
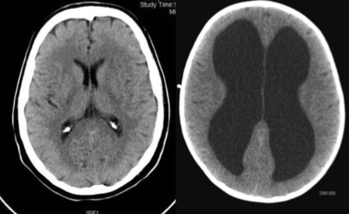
Der sog. Hydrocephalus („Wasserkopf“) ist eine Erkrankung, die praktisch in jedem Lebensalter auftreten kann. Hierbei kommt es zu einer Störung des Hirnwasserkreislaufs. Die Folge ist eine Aufweitung der inneren Hirnwasserkammern (siehe Abbildung).

Je nach Ursache der Erkrankung geht diese Hirnkammererweiterung mit einer mehr oder minder ausgeprägten Erhöhung des Hirndrucks und einem Untergang von Hirngewebe einher.
Die klinischen Symptome können hierbei sehr unterschiedlich sein. Häufig klagen die betroffenen Patienten über Kopfschmerzen, Schwindel, Gedächtnisstörungen, Inkontinenz, Antriebslosigkeit oder unsicheres Gehen.
Da die genannten Symptome sehr unspezifisch sind, muss in den allermeisten Fällen vor dem Einleiten einer Therapie eine spezielle, gemäß den aktuell gültigen Leitlinien erweiterte Diagnostik erfolgen. Unsere Klinik bietet hier das volle Repertoire leitliniengerecht an. Neben gezielten klinischen Untersuchungen und Punktionen des Duralsacks im Lendenwirbelkanal zur Hirnwasserentlastung (sog. Lumbalpunktion, kurz LP) werden auch moderne kernspintomographische Techniken und minimal-invasive Messungen des Hirndrucks (sog. telemetrische Hirndruckmessung) durchgeführt.
Telemetrische Hirndruckmessung
Bei dieser neuen und modernen Form der Hirndruckmessung implantieren wir den Patienten einen Drucksensor unter die Kopfhaut. Mit speziellen Empfängern können Hirndruckwerte telemetrisch durch die geschlossene Haut übertragen werden. Es existieren Drucksensoren, die als eigenständiges Implantat verwendet werden, als auch Sensoren, die in eine Hirnwasserableitung (in einen sog. Shunt, siehe unten) integriert werden. Neben diagnostischen Messungen zur Feststellung einer behandlungsbedürftigen Erkrankung können auch postoperative Überwachungen des Hirndrucks nach neurochirurgischen Operationen am Hirnwassersystem durchgeführt werden. Die Integration eines Drucksensors (Miethke Sensor Reservoir, siehe Abbildung) in einen Shunt bietet zudem die Möglichkeit, jederzeit die Funktion der Hirnwasserableitung zu überprüfen. Durch unsere jahrelange Expertise bei der Messung und Interpretation von Hirndruckwerten können wir so eine patientenindividuelle Behandlung durchführen.

Shunt-Implantation
Im Bereich der Hydrocephalus-Therapie bietet unsere Klinik alle etablierten Verfahren an. Das häufigste Therapieverfahren im Rahmen eines Hydrocephalus ist die Implantation eines Shuntsystems zur Ableitung von überschüssigem Hirnwasser (Liquor). Hierbei wird über ein Schlauchsystem eine Verbindung zwischen den Hirnwasserkammern (Ventrikeln) und einer Körperhöhle – z. B. dem Bauchraum (Peritoneum) – geschaffen. Zur Regulation der Abflussmenge sind Ventile in das Shuntsystem zwischengeschaltet. Die von uns verwendeten Ventile können speziell auf den Patienten programmiert bzw. eingestellt werden. Das heißt, über eine Einstellung der sog. Ventil-Druckstufen wird vorgegeben, wie viel Hirnwasser nach der Operation aus dem Gehirn ablaufen soll.


Um das bestmögliche Therapieergebnis für den einzelnen Patienten zu erreichen, ist es zu jeder Zeit möglich, mit einem speziellen Magneten beliebig oft Umstellungen der Druckstufen über die geschlossene Kopfhaut vorzunehmen. Ein unbeabsichtigtes Verstellen mit normalen, handelsüblichen Magneten ist dabei nahezu ausgeschlossen. Durch die von uns etablierte Kombination von Langzeit-Hirndruckmessung (siehe oben) und Verwendung verstellbarer Ventile können insbesondere bei sehr schwierigen und komplexen Fällen hirndruckgesteuerte Ventileinstellungen zur Optimierung der Shunt-Therapie vorgenommen werden.
Endoskopische Drittventrikulostomie (ETV)
Unsere Klinik bietet im Rahmen der Hydrocephalus-Therapie zudem verschiedene endoskopische Techniken an, die teilweise nur von wenigen Zentren weltweit durchgeführt werden. Eine etablierte Technik ist die endoskopische Drittventrikulostomie (kurz: ETV), die bei bestimmten Ursachen des Hydrocephalus eine Therapieoption darstellen und eine Shuntimplantation verhindern kann.
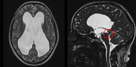
Kommt es zu einer Verlegung der Hirnwasserzirkulation, z. B. durch eine Verengung zwischen der dritten und vierten Hirnwasserkammer (Aquäduktstenose), kann ein sog. Verschlusshydrocephalus (Hydrocephalus occlusus) resultieren. Auch Tumoren innerhalb der Hirnwasserkammern können die Abflusswege verlegen und zu einem Verschlusshydrocephalus führen. Bei diesen Formen des Hydrocephalus kann durch eine ETV eine Verbindung zwischen dem III. Ventrikel und den äußeren Liquorräumen geschaffen werden. Hierbei wird über ein kleines Bohrloch im Schädelknochen ein Endoskop bis in den III. Ventrikel eingeführt und dessen Boden durch eine Perforation zu den äußeren Liquorräumen (basale Zisternen) gefenstert. Dadurch kann ein ungehinderter Liquorfluss unter Umgehung des Hindernisses ermöglicht werden.

Links: Darstellung der deutlich erweiterten Seitenventrikel. Rechts: Darstellung der Aquäduktstenose.


