Kindliche Hirntumore
Das Spektrum der Tumorerkrankungen und deren Häufigkeitsverteilung unterscheiden sich im Kindesalter deutlich von denen Erwachsener. Somit machen Tumoren des Zentralen Nervensystems (ZNS) den größten Anteil an soliden Tumoren bei Kindern aus und stellen insgesamt mit einem Anteil von ca. 25 % nach den Leukämien die zweithäufigste Krebserkrankung dar. Auch die Lokalisation der Tumoren und deren Entität weist Unterschiede zu denen Erwachsener auf. Kindliche Hirntumoren sind häufig im Kleinhirn- und Hirnstammbereich (infratentoriell) lokalisiert, während bei Erwachsenen die Hirntumoren meist im Bereich des Großhirns (supratentoriell) entstehen. Die häufigsten intrakraniellen Tumorarten bei pädiatrischen Patienten sind Astrozytome, primitive neuroektodermale Tumoren (PNET inklusive Medulloblastom) und Ependymome, aber auch andere Tumoren wie z. B. Kraniopharyngeome und Plexuspapillome werden in dieser Altersgruppe beobachtet.
Beispiele
Pilozytisches Astrozytom
Pilozytische Astrozytome sind insgesamt die häufigsten Hirntumore im Kindesalter. Diese hirneigenen Tumoren kommen nahezu ausschließlich bei Kindern und jungen Erwachsenen vor. Sie können sowohl im Klein- als auch im Großhirn entstehen. Dank ihrer gutartigen Natur besteht hier die Möglichkeit, eine Heilung durch komplette chirurgische Resektion zu erzielen. Eine Nachbehandlung ist dann auch nicht erforderlich. Sollte die Tumorentfernung nur inkomplett möglich sein, wird bei erneutem Tumorwachstum neben der erneuten Resektion auch eine Bestrahlung oder Chemotherapie diskutiert.
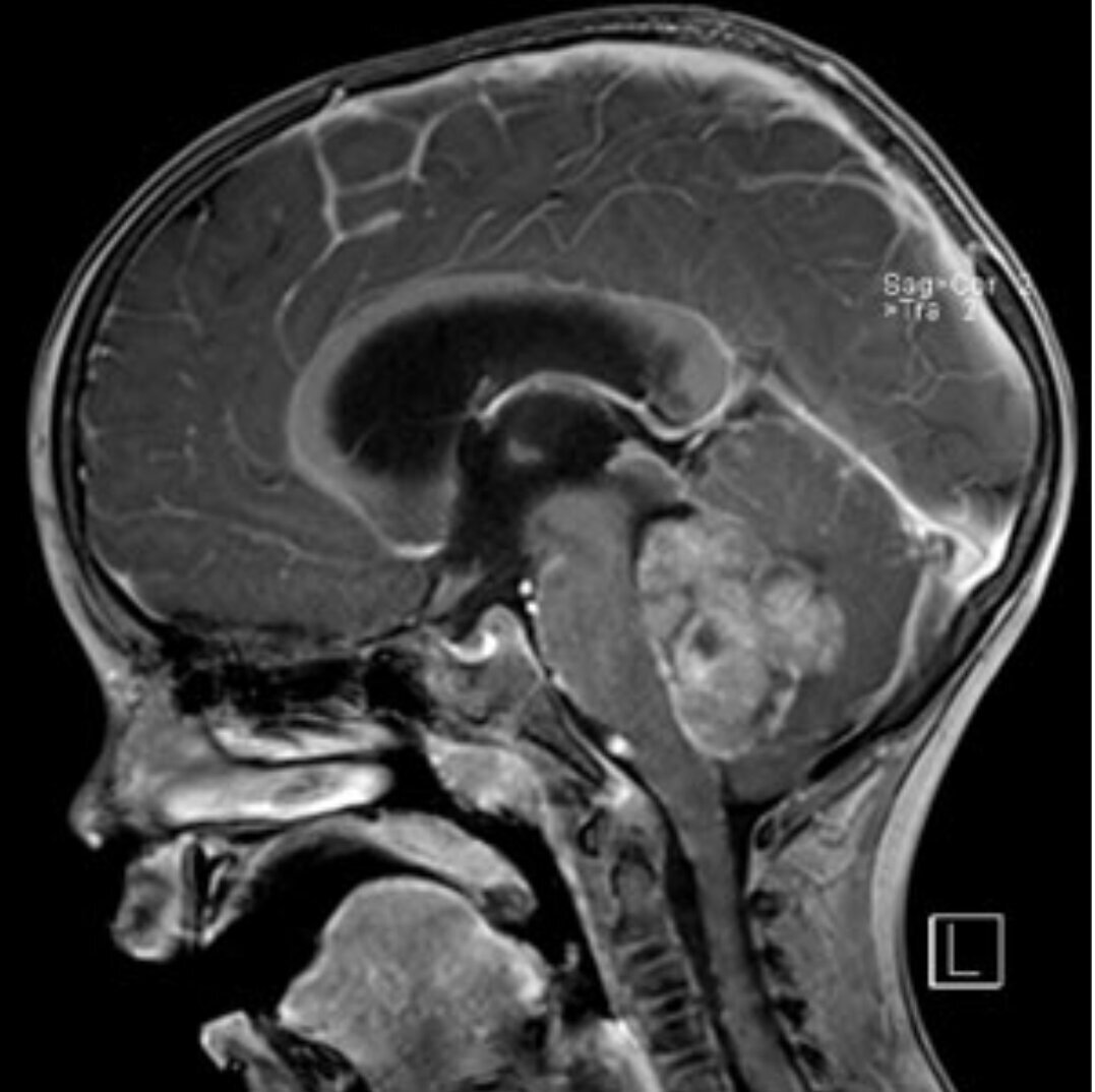
Medulloblastom
Das Medulloblastom ist der häufigste bösartige ZNS-Tumor bei Kindern. Typischerweise entwickelt er sich in der hinteren Schädelgrube – meist im IV. Ventrikel – und wächst sowohl schnell als auch infiltrierend gegen das Kleinhirngewebe. Sogenannte Abtropfmetastasen entlang der Hirnwasserwege (Liquorräume) sind möglich. Die Behandlung besteht in der möglichst kompletten chirurgischen Entfernung, gefolgt von einer adjuvanten Therapie bestehend aus Chemotherapie und bei Kindern ab ca. 4 Jahren zusätzlich Strahlentherapie. Die Behandlungsergebnisse zeigen in den letzten Jahren eine deutliche Verbesserung. Durch die beschriebene Kombinationstherapie werden heute 5-Jahresüberlebenswahrscheinlichkeiten von 70-80 % erreicht.
Ependymome
Diese Tumorentität ist bei Kindern vor allem im IV. Ventrikel in der hinteren Schädelgrube lokalisiert. Weitere Lokalisationen können die Seitenventrikel, der III. Ventrikel oder innerhalb des Rückenmarkskanals (intraspinal) sein. Ein zweiter Häufigkeitsgipfel ist bei Erwachsenen zwischen dem 30. und 40. Lebensjahr zu beobachten. Bei diesen Patienten findet man meist intraspinale Ependymome. Ependymome können gutartiger aber auch bösartiger Natur sein. Die Therapie richtet sich nach der Lokalisation und Dignität des Tumors. Ziel ist aber in der Regel eine komplette chirurgische Resektion. Sollte diese gelingen, ist bei den gutartigen Formen meist keine weitere Therapie nötig. Ist nur eine unvollständige Resektion möglich und/oder handelt es sich um bösartige Formen, sollte eine Nachbehandlung durch Bestrahlung und ggf. Chemotherapie erfolgen.

Vestibularisschwannome (Akustikusneurinome)
Diese gutartigen Tumore bilden sich aus den Hüllzellen des für das Gleichgewicht zuständigen Teils des VIII. Hirnnerven (Nervus vestibulocochlearis). Da dieser Nerv auch für die Übertragung der Impulse des Hörorgans sorgt, ist eine Hörstörung der betroffenen Seite oftmals Erstsymptom und darf insbesondere nicht mit einem Hörsturz verwechselt werden. Bei weiterem Wachstum kommt es dann - wie oben beschrieben - zu Gleichgewichts- und Gangstörungen.
Es gibt drei potenzielle Behandlungsmethoden:
1) Die operative Entfernung des Tumors, die in einem hohen Prozentsatz zur Heilung führt
2) Die gezielte Bestrahlung des Tumors (Radiochirurgie)
3) Beobachtendes Zuwarten bei bekannt langsamem Tumorwachstum, dies vor allem bei betagten oder Risikopatienten.
Die Entscheidung kann letztlich nur im intensiven Gespräch mit dem Patienten fallen. Der operativen Therapie ist aber nach jetzigem Wissensstand insbesondere bei jungen, ansonsten gesunden Patienten mit beobachtetem Tumorwachstum oder aber neurologischen Ausfällen wie Hörstörung, Gleichgewichtsstörung, Gangstörung etc. der Vorzug zu geben. Außerdem besteht insbesondere bei kleinen Tumoren eine gute Chance, den Tumor unter Erhalt des Hörvermögens des betroffenen Ohres zu entfernen. Insgesamt ist das Risiko eines dauerhaften Hörverlustes ca. 5 %.
