Hypyhysentumore
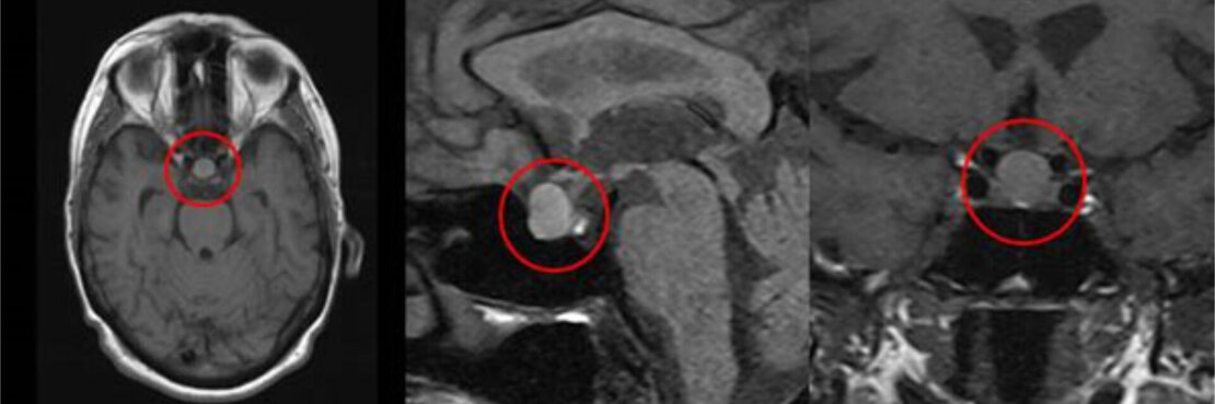
Die Hirnanhangsdrüse (Hypophyse) befindet sich in der sog. Sellaregion, einem Bereich der mittleren Schädelbasis. Sie produziert Hormone und Botenstoffe, durch die wiederum andere Drüsen im Körper in ihrer Funktion gesteuert werden. Bei den allermeisten geschwulstartigen Veränderungen der Hirnanhangsdrüse handelt es sich um gutartige Tumore. Diese Prozesse sind daher in der Regel lokal begrenzt und wachsen meist langsam. Bei den Hypophysenadenomen unterscheidet man zwei große Gruppen: hormonproduzierende (v.a. STH=Wachstumshormon, Prolaktin, ACTH) und nicht hormonproduzierende Adenome. Bei beiden Gruppen führt ein stärkeres Wachstum schließlich zur Anhebung und dann Kompression des Sehnervs, so dass häufig Sehstörungen und Gesichtsfeldausfälle zur ersten Konsultation eines Arztes führen. Bei den hormonproduzierenden Adenomen machen sich zusätzlich die Folgen des jeweiligen Hormonüberschusses bemerkbar.
Bei der Behandlung arbeiten daher Hormonspezialisten (Endokrinologen) und Neurochirurgen eng zusammen. Bevor eine Entscheidung über die individuelle Behandlung eines Patienten getroffen werden kann, sollten daher in der Regel folgende Untersuchungen vorliegen:
- Umfassende Abklärung der Hormonsituation (Endokrinologie)
- Magnetresonanztomographie (MRT) der Hypophyse
- Augenärztliche Untersuchung incl. Gesichtsfeldbestimmung
In vielen Fällen ist eine operative Behandlung notwendig, die heute oft schonend durch die Nase (transnasal, transsphenoidal) in endoskopischer Technik durchgeführt werden kann. In anderen Fällen (z. B. Prolaktinome) wiederum kann eine medikamentöse Behandlung die Therapie der Wahl sein.

Neurochirurgische Therapie
In unserer Klinik wird jährlich eine Vielzahl von endonasalen minimalinvasiven Eingriffen zur Therapie von Tumoren der Hypophysenregion durchgeführt. Dafür hat das vorhandene Operationsteam einen eigenen speziellen minimalinvasiven endoskopischen Zugangsweg zu dieser Region entwickelt, der eine hohe Radikalität bei gleichzeitig maximaler Gewebeschonung - insbesondere der Nase - ermöglicht. In konkreten Zahlen ausgedrückt bedeutet das, dass in 92-94 %* eine radikale Tumorentfernung erzielt werden kann. Entsprechend gering sind die Komplikationsraten: Postoperative selläre Blutungen traten in 0,4 % der Fälle auf, eine Meningitis (Hirnhautentzündung) in 1 %, eine Perforation der Nasenscheidewand in 0,4 %, vorübergehende Geruchsstörungen in 7,9 % und Beeinträchtigungen der Nasenatmung in 9,9 %*.
Der Hypophysentumor ist meist noch nur durch eine dünne Hirnhautschicht (das sogenannte Diaphragma sellae) vom Nervenwasserraum getrennt. Bei großen Tumoren und dünner Hirnhaut ist eine Abdichtung dieser Hirnhautschicht während der Operation deshalb ggf. erforderlich. Aus diesem Grunde wird bei einem geringen Anteil der Patienten über einen kleinen Hautschnitt am Bauchnabel etwas Fett als Transplantat zur Abdichtung entnommen. Aber auch andere Methoden kommen hierfür zum Einsatz. Insgesamt konnte mit der von uns bevorzugten Strategie das Auftreten von postoperativen Liquorfisteln nach endonasalen Eingriffen auf ein minimales Ausmaß von 2 %* beschränkt werden.
Während der Therapie der Hypophysentumore ist uns als Team die interdisziplinäre Behandlung mit Augenärzten und v.a. Endokrinologen wichtig. Solch ein spezialisiertes und sehr erfahrenes Team zur interdisziplinären Zusammenarbeit und Therapie dieser Tumore finden sie bei uns vor.
* Oertel J, Gaab MR, Tschan CA, Linsler S. Mononostril endoscopic transsphenoidal approach to sellar and peri-sellar lesions: Personal experience and literature review. Br J Neurosurg. 2015 May 12:1-6. [Epub ahead of print]
